治療別で症例を探す


10代女性 叢生(歯のがたつき)・交叉咬合(一部分だけかみ合わせが反対)
治療内容:インビザライン・ファースト


10代男性 反対咬合(受け口) 叢生(歯のガタつき) 開咬(前歯がかみ合わない)
治療内容:インビザライン・ファースト


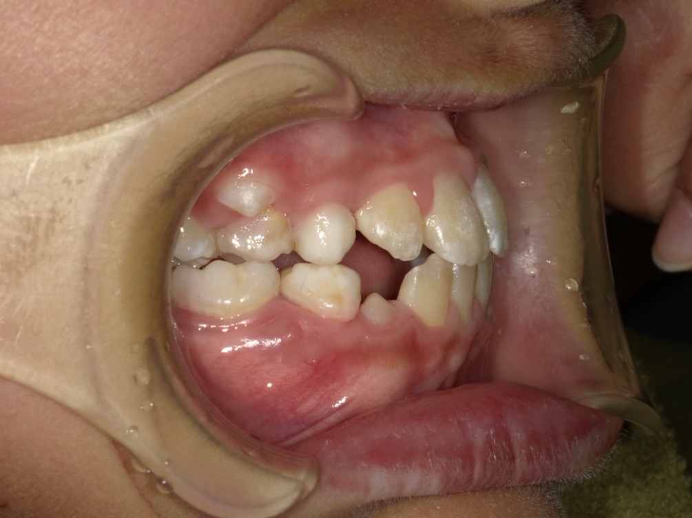
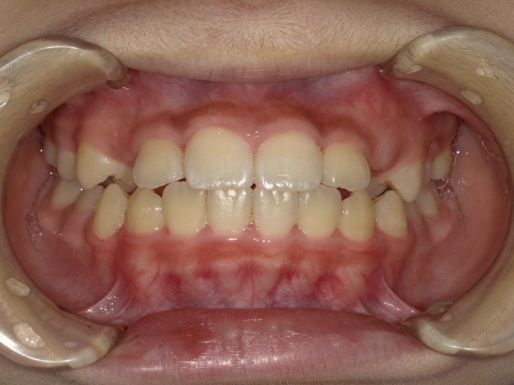
10代男性 スペース不足(歯が生えてくるスペースが足りない)
治療内容:インビザライン・ファースト


9歳女性 開咬(前歯が噛み合わない)・空隙歯列(すきっ歯)・顎偏位(顎のずれ)
治療内容:インビザライン・ファースト


10代女性 叢生(歯のガタつき)・交叉咬合(噛み合わせが反対)
治療内容:インビザライン・ファースト


10代男性 叢生(歯のガタつき)・交叉咬合(噛み合わせが反対)
治療内容:インビザライン・ファースト


治療内容:インビザライン・ファースト


治療内容:インビザライン・ファースト