治療別で症例を探す
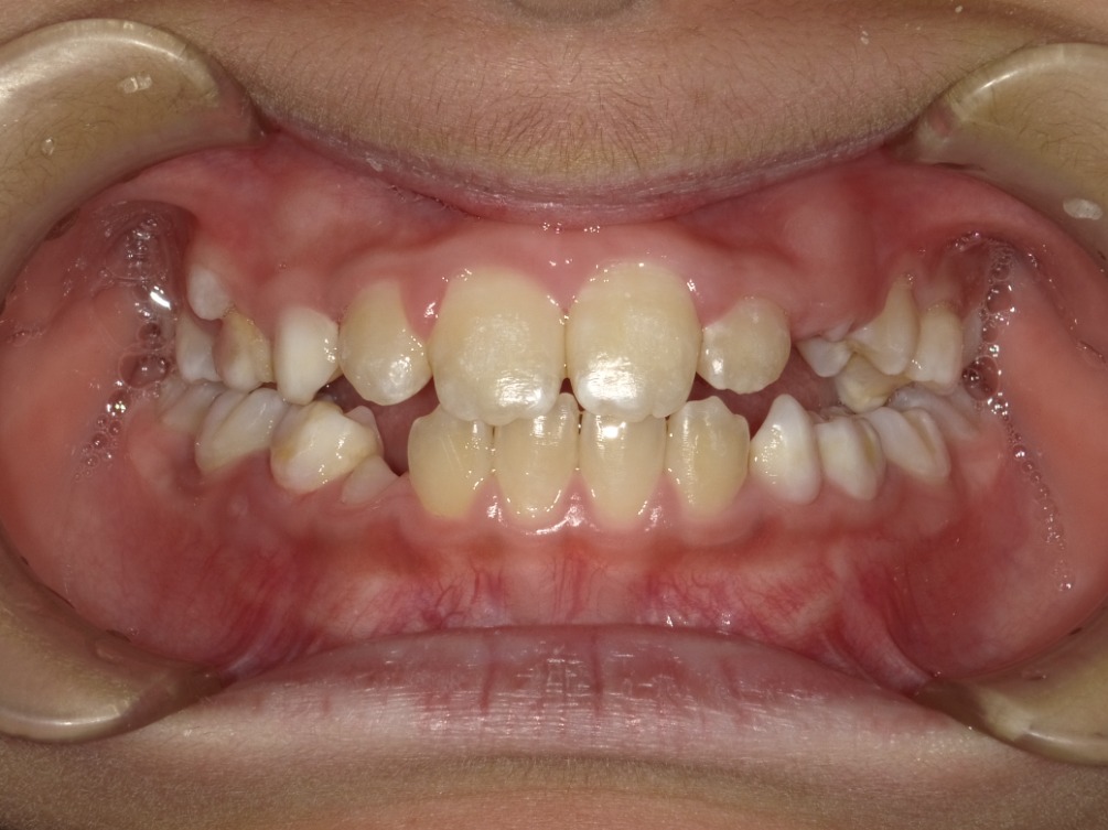
BEFORE

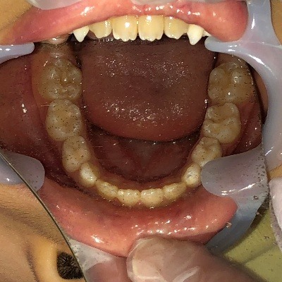
AFTER

BEFORE

AFTER

BEFORE

AFTER

BEFORE

AFTER

BEFORE

AFTER


正面

右横

左横

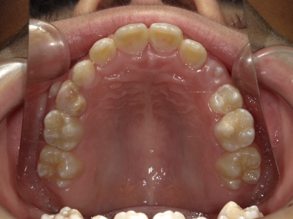
上顎

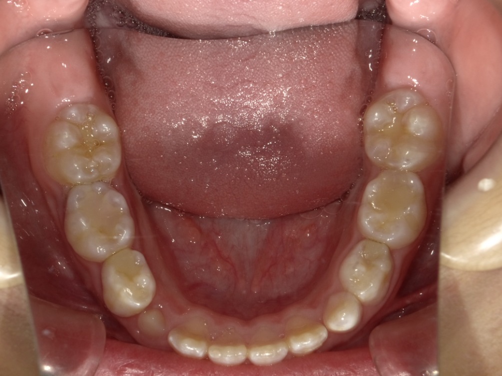
下顎
| 治療内容 | インビザライン・ファースト |
|---|---|
| 治療詳細 | 反対咬合や叢生、開咬を整えるために、歯の表面にアタッチメント(白い突起)をつけました。 また、顎間ゴムと呼ばれる引っ掛けるゴムの補助装置も用いて治療を行いました。 |
| 患者情報 | 10代 男性 予防矯正から移行 |
| 主訴 | 受け口 |
| 治療期間 | 2023.10.3~2025.4.7 来院回数:14回 |
| 治療費用 | 検査代 0円 矯正代 150,000円 (税込165,000円) 保定代 40,000円 (税込44,000円) |
| 担当医 | 田中一郎 歯科医師 |
| 副作用 | マウスピースを1日約20時間装着する必要があるため、しっかりと装着いただけないと歯並びが綺麗になりません |
治療経過