治療別で症例を探す


治療内容:インビザライン 全顎


20代女性 叢生(歯のがたつき)・交叉咬合(一部分だけかみ合わせが反対)
治療内容:インビザライン 全顎〈抜歯あり〉


10代女性 叢生(歯のがたつき)・交叉咬合(一部分だけかみ合わせが反対)
治療内容:インビザライン 全顎


治療内容:インビザライン 全顎


50代女性 上顎前突(出っ歯)・叢生(歯のがたつき)・下顎左偏
治療内容:インビザライン 全顎


治療内容:インビザライン 全顎


治療内容:インビザライン 全顎


治療内容:インビザライン 全顎


治療内容:インビザライン 全顎


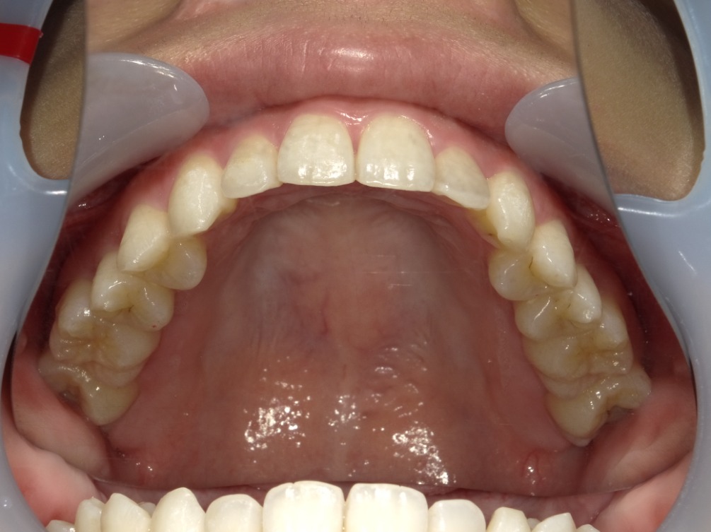
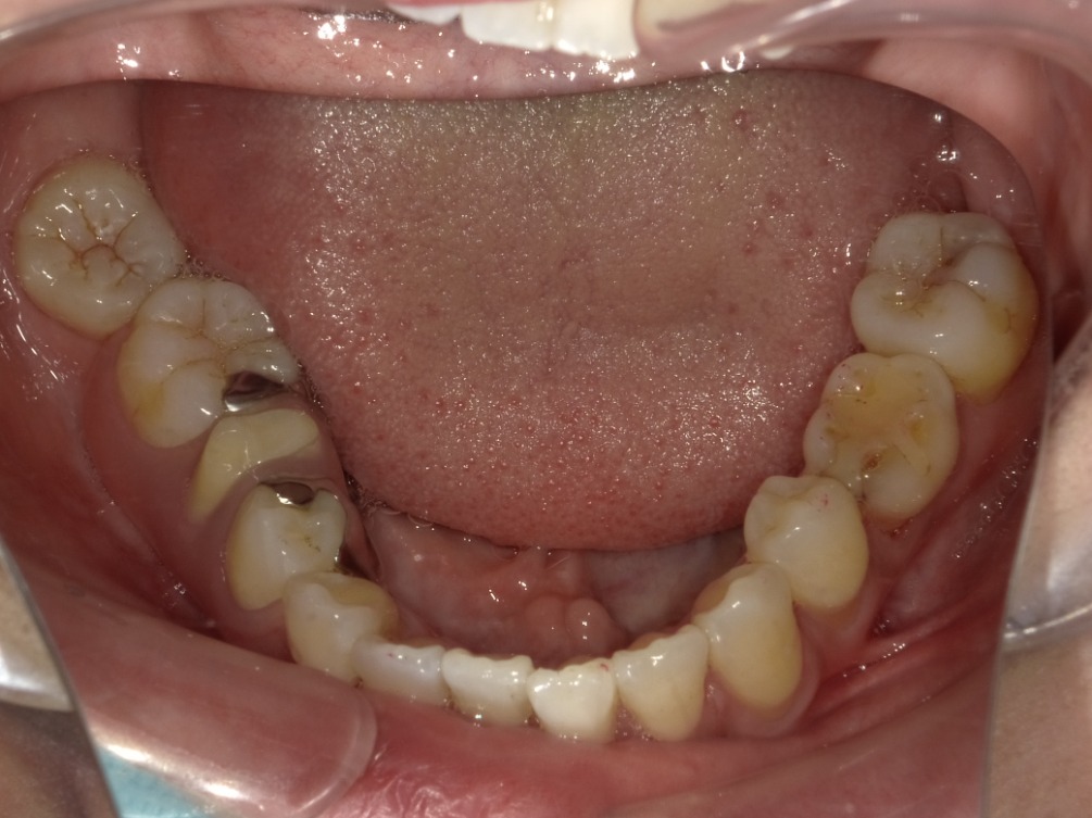
20代女性 叢生(歯のがたつき) 開咬(前歯がかみ合わない) 上顎前突(出っ歯) 交叉咬合(一部分かみ合わせ反対)
治療内容:インビザライン 全顎