治療別で症例を探す
BEFORE

AFTER

BEFORE

AFTER

BEFORE

AFTER

BEFORE

AFTER

BEFORE

AFTER

BEFORE

AFTER


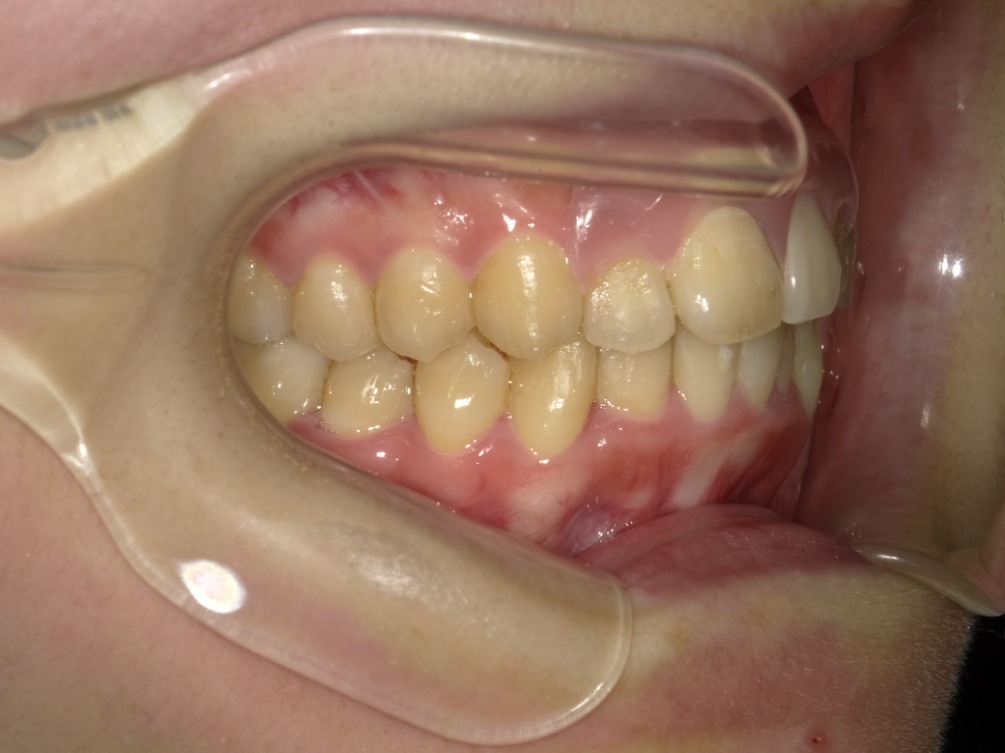
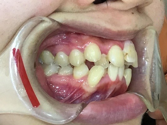
正面

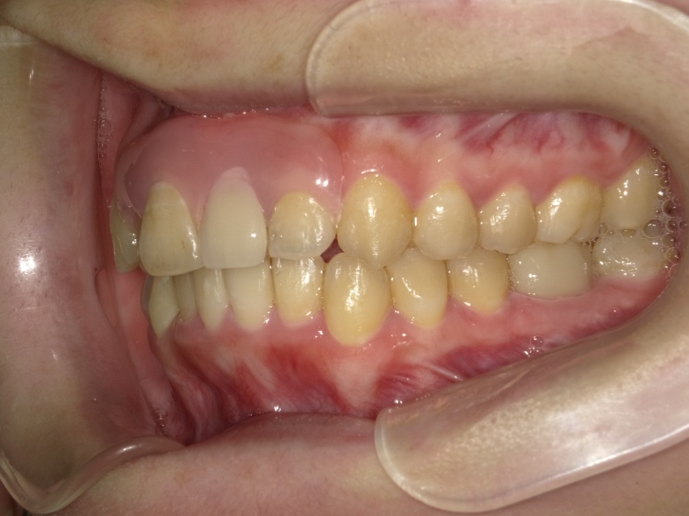
右横

左横

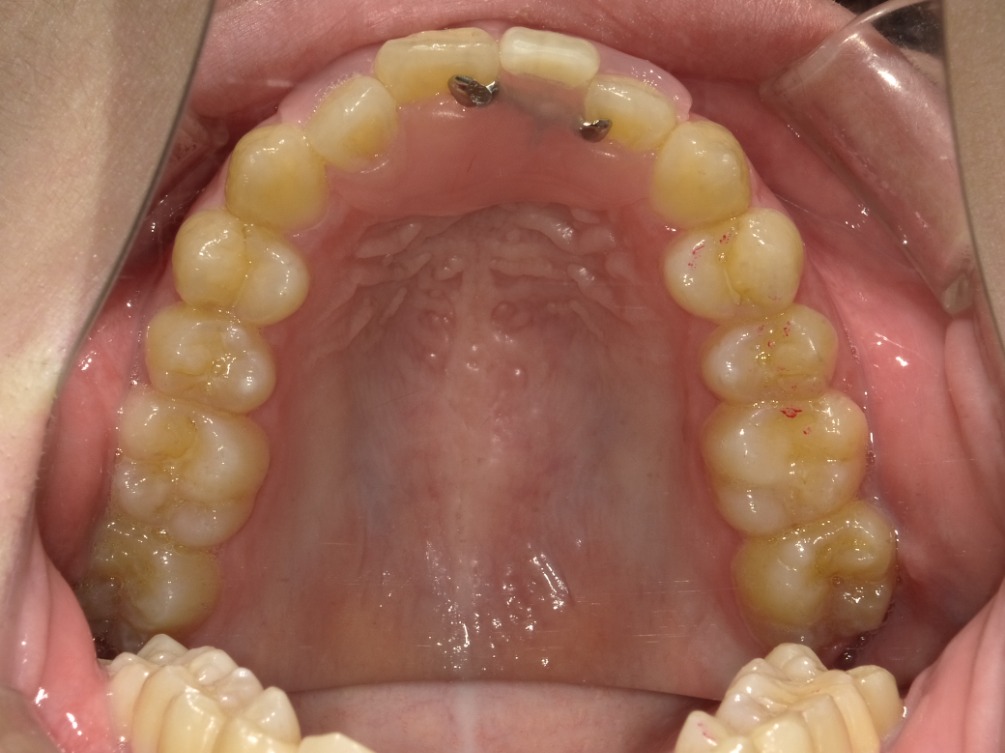
上顎

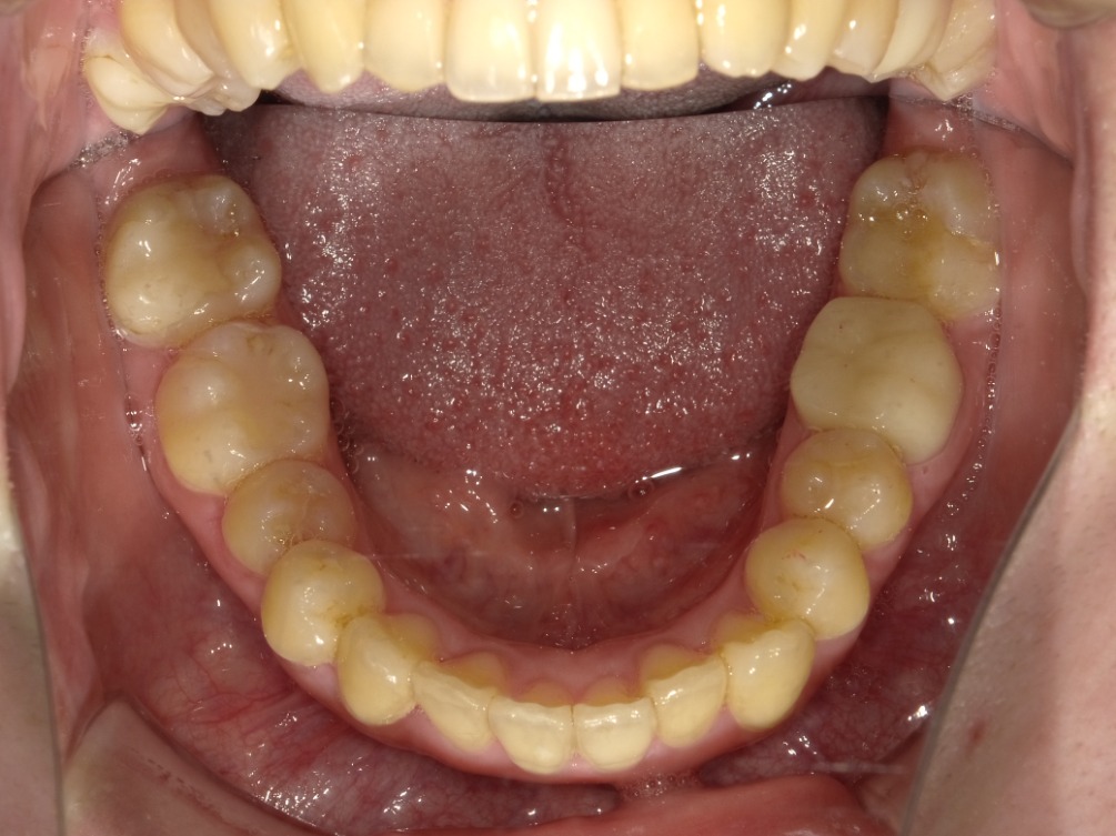
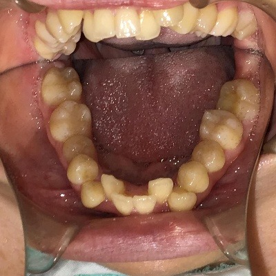
下顎

笑顔
| 治療内容 | インビザライン 全顎〈抜歯あり〉 |
|---|---|
| 治療詳細 | 叢生や交叉咬合を整えるために、歯の表面にアタッチメント(白い突起)をつけ、IPR(歯と歯の間を削る)を行いました。 また、顎間ゴムと呼ばれる引っ掛けるゴムの補助装置も用いて治療を行いました。 抜歯を1本して治療を行いました。該当部分は義歯を使用しています。 |
| 患者情報 | 20代 女性 デンタルモニタリング使用 |
| 主訴 | 歯のがたつき 一部分だけかみ合わせが反対 |
| 治療期間 | 2021.10.2~2025.9.6 来院回数:18回 |
| 治療費用 | 検査代 30,000円 (税込33,000円) 本体代 798,000円 (税込877,800円) 保定代 40,000円 (税込44,000円) |
| 担当医 | 田中一郎 歯科医師 |
| 副作用 | マウスピースを1日約20時間装着する必要があるため、しっかりと装着いただけないと歯並びが綺麗になりません |
治療経過