治療別で症例を探す
BEFORE

AFTER

BEFORE

AFTER

BEFORE

AFTER

BEFORE

AFTER

BEFORE

AFTER


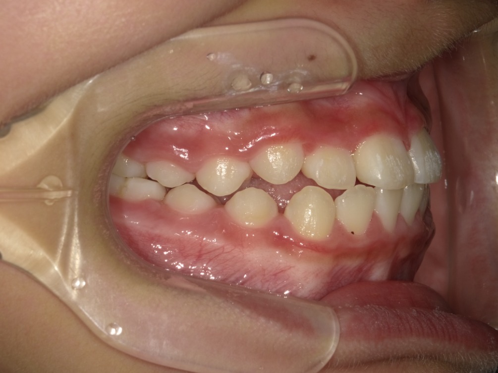
正面

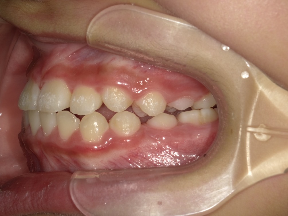
右横

左横

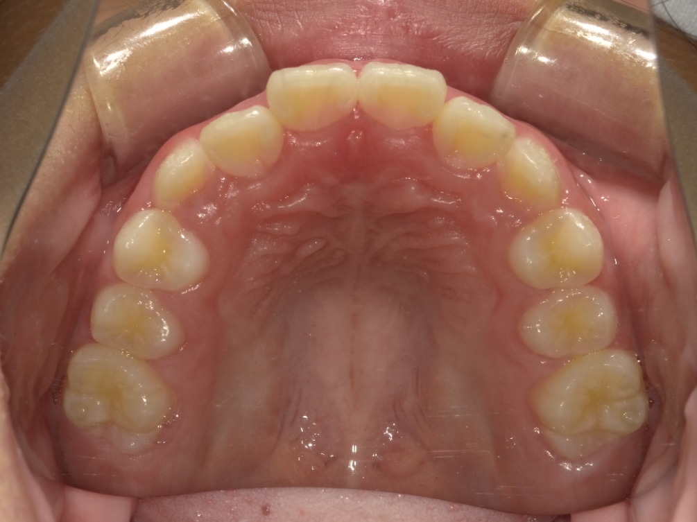
上顎

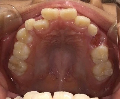
下顎
| 治療内容 | インビザライン・ファースト |
|---|---|
| 治療詳細 | 叢生や交叉咬合を整えるために、歯の表面にアタッチメント(白い突起)をつけました。 |
| 患者情報 | 10代 女性 予防矯正から移行 |
| 主訴 | 歯のがたつき 一部分だけかみ合わせが反対 |
| 治療期間 | 2024.6.24~2025.9.22 来院回数:12回 |
| 治療費用 | 検査代 30,000円 (税込33,000円) 矯正代 150,000円 (税込165,000円) 保定代 40,000円 (税込44,000円) |
| 担当医 | 田中一郎 歯科医師 |
| 副作用 | マウスピースを1日約20時間装着する必要があるため、しっかりと装着いただけないと歯並びが綺麗になりません |
治療経過