治療別で症例を探す


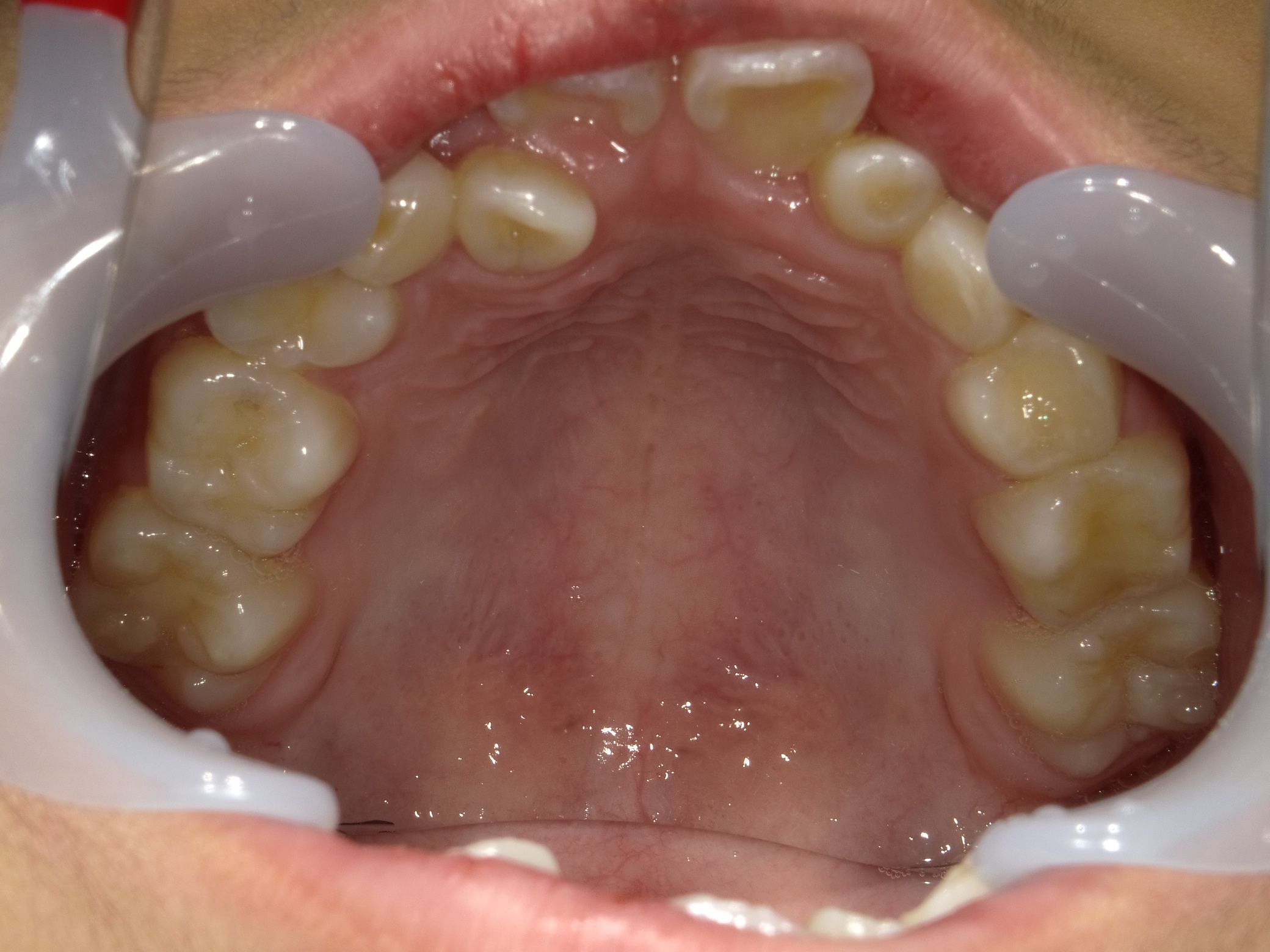
10代男性 叢生(歯のがたつき)・スペース不足・交叉咬合(一部分だけかみ合わせが反対)
治療内容:インビザライン・ファースト


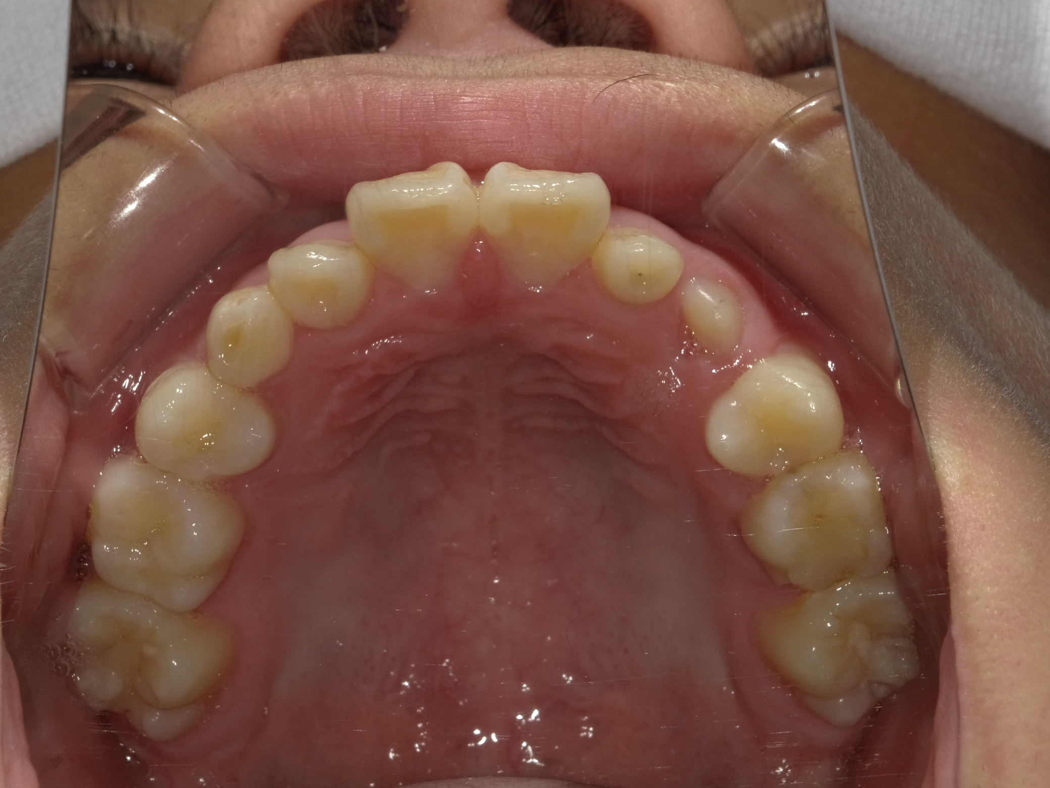
9歳男性 スペース不足(永久歯が並ぶ場所がない)・交叉咬合(一部分だけかみ合わせが反対)
治療内容:インビザライン・ファースト


10代女性 叢生(歯のがたつき)・交叉咬合(一部分だけかみ合わせが反対)
治療内容:インビザライン・ファースト


10代女性 叢生(歯のガタつき)・交叉咬合(噛み合わせが反対)
治療内容:インビザライン・ファースト


10代男性 叢生(歯のガタつき)・交叉咬合(噛み合わせが反対)
治療内容:インビザライン・ファースト