治療別で症例を探す


治療内容:予防矯正/アクティビティ(口腔筋機能療法)


治療内容:予防矯正


治療内容:オフィスホワイトニング


治療内容:オフィスホワイトニング


治療内容:オフィスホワイトニング


治療内容:オフィスホワイトニング


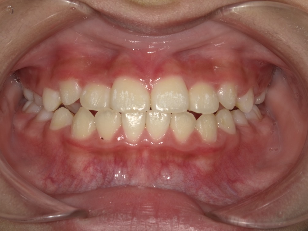
20代女性 叢生(歯のがたつき) 過蓋咬合(かみ合わせが深い)
治療内容:インビザライン 全顎


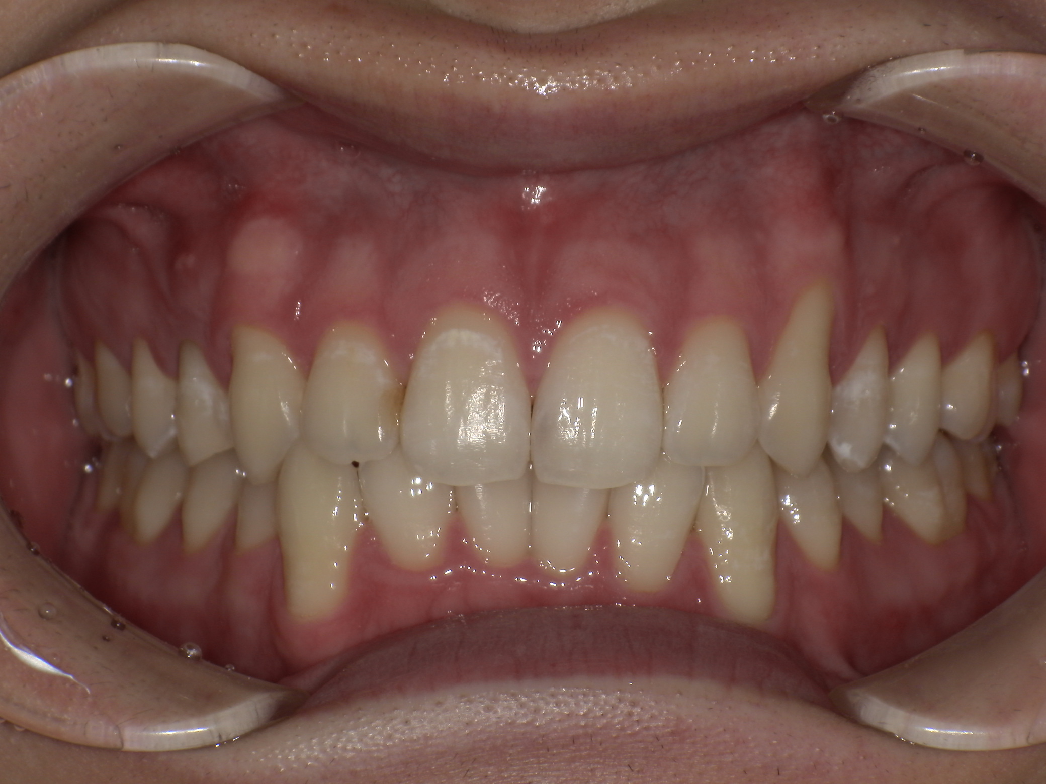
10代男性 叢生(歯のがたつき) 過蓋咬合(かみ合わせが深い)
治療内容:インビザライン・ファースト


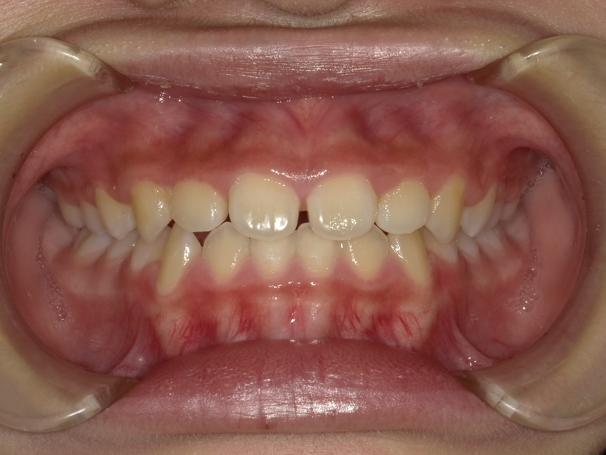
10代男性 叢生(歯のがたつき)・スペース不足・交叉咬合(一部分だけかみ合わせが反対)
治療内容:インビザライン・ファースト


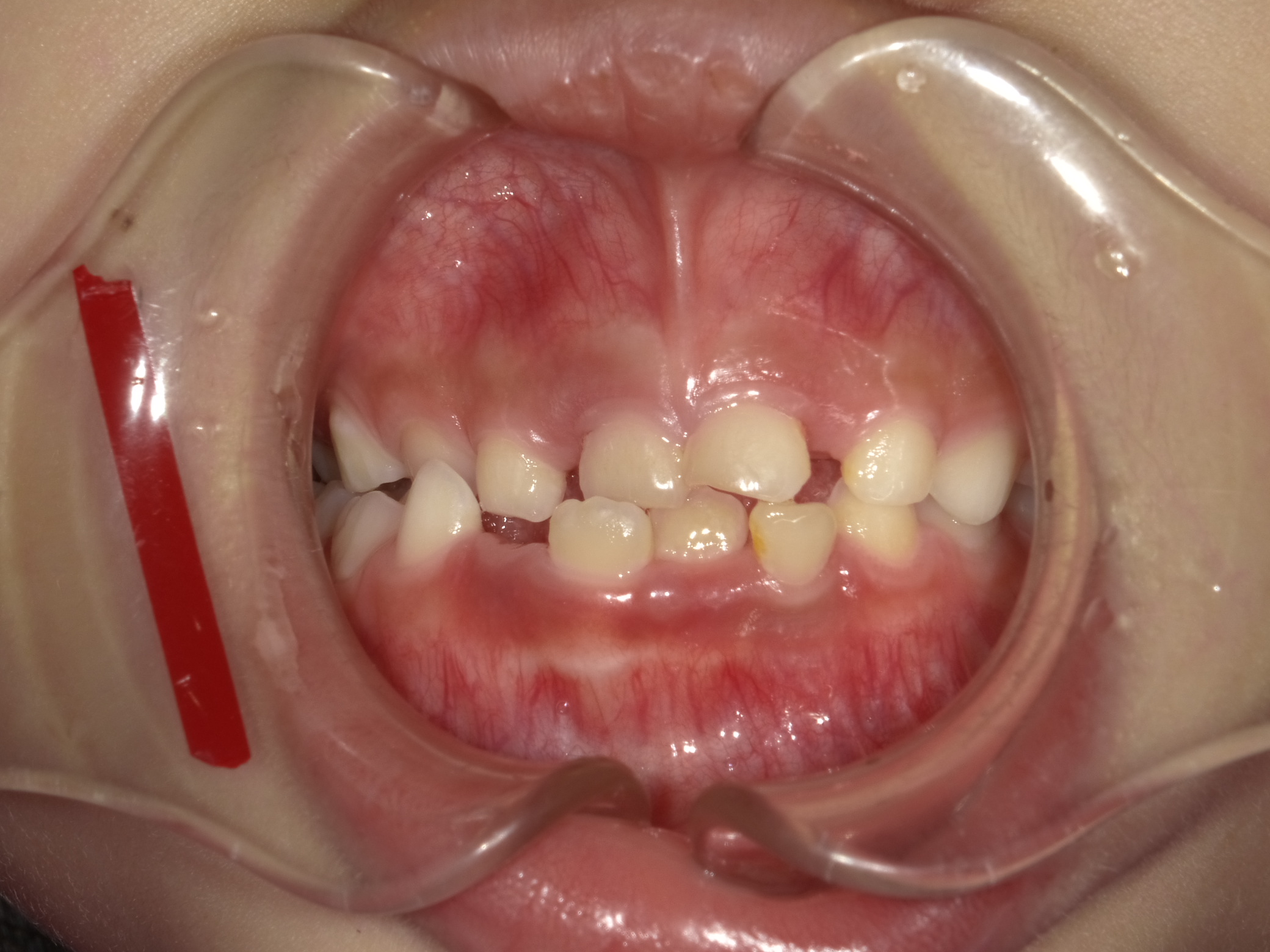
9歳男性 スペース不足(永久歯が並ぶ場所がない)・交叉咬合(一部分だけかみ合わせが反対)
治療内容:インビザライン・ファースト