治療別で症例を探す
BEFORE

AFTER

BEFORE

AFTER

BEFORE

AFTER

BEFORE

AFTER

BEFORE

AFTER


正面

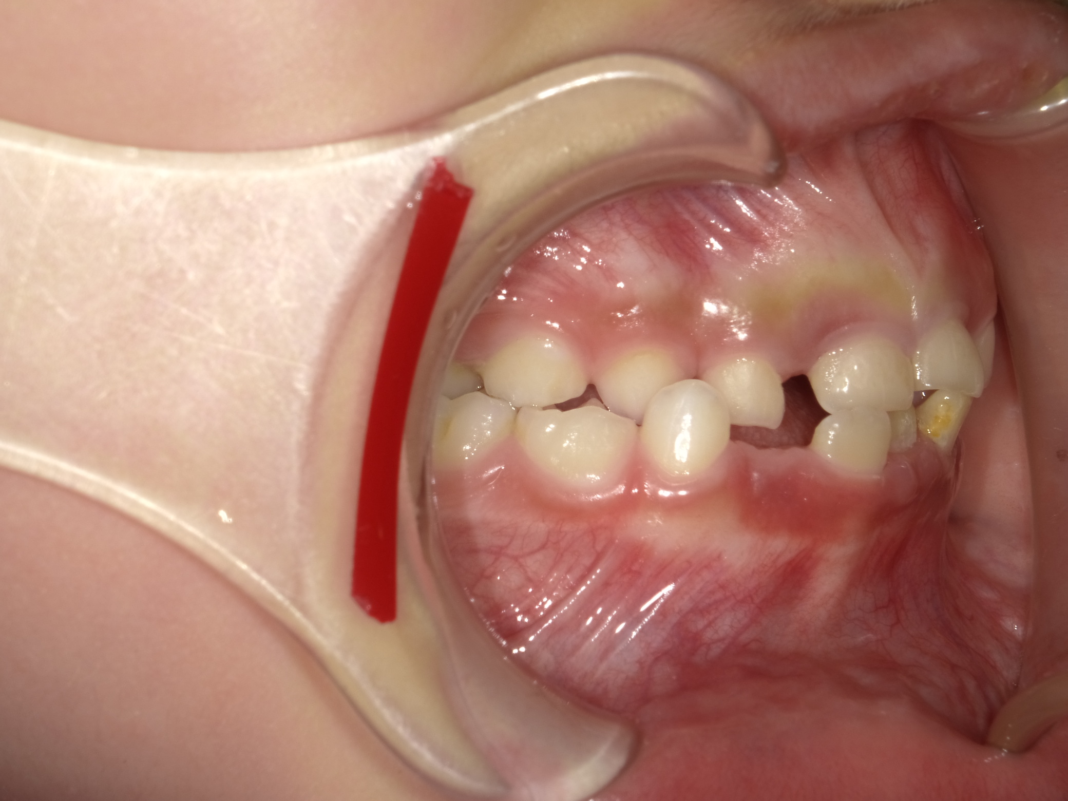
右横

左横

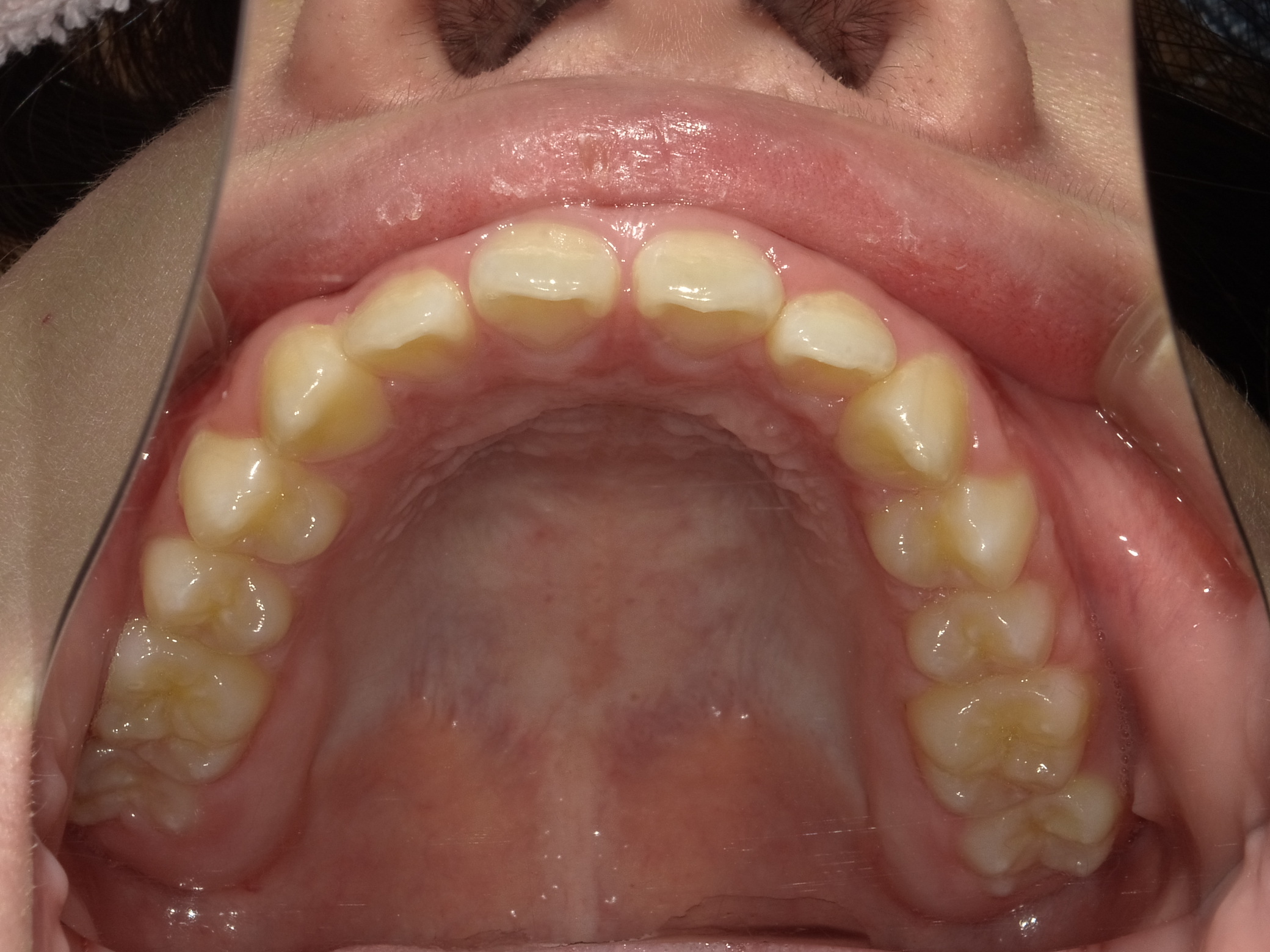
上顎

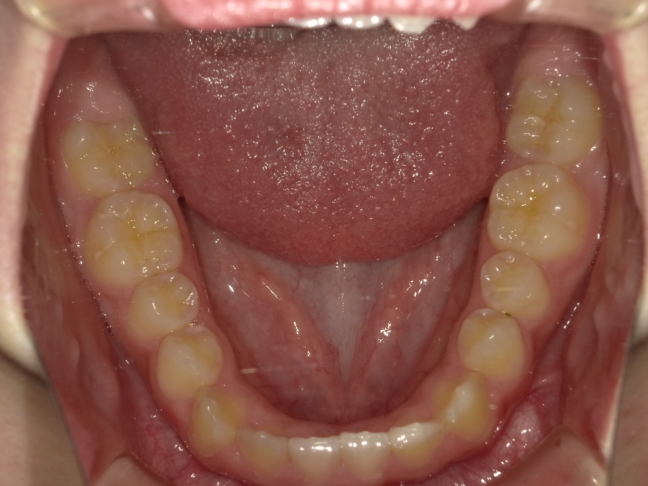
下顎
| 治療内容 | 予防矯正/アクティビティ(口腔筋機能療法) |
|---|---|
| 治療詳細 | 「マイオブレス」と「プレオルソ」と呼ばれるマウスピース装置と、 |
| 患者情報 | 開始年齢6歳 女性 |
| 主訴 | ・交叉咬合 : かみ合わせが一部分のみ反対の状態 |
| 治療期間 | 2020.8.22~2025.9.27 矯正調整来院回数:18回 |
| 治療費用 | 予防矯正 アクティビティ |
| 担当医 | 田中一郎 歯科医師 |
| 副作用 | 矯正治療中に装置が当たることで頬の内側に傷がつく、口内炎、歯の移動に伴う痛みを感じることがあります |