治療別で症例を探す
BEFORE

AFTER

BEFORE

AFTER

BEFORE

AFTER

BEFORE

AFTER

BEFORE

AFTER


正面

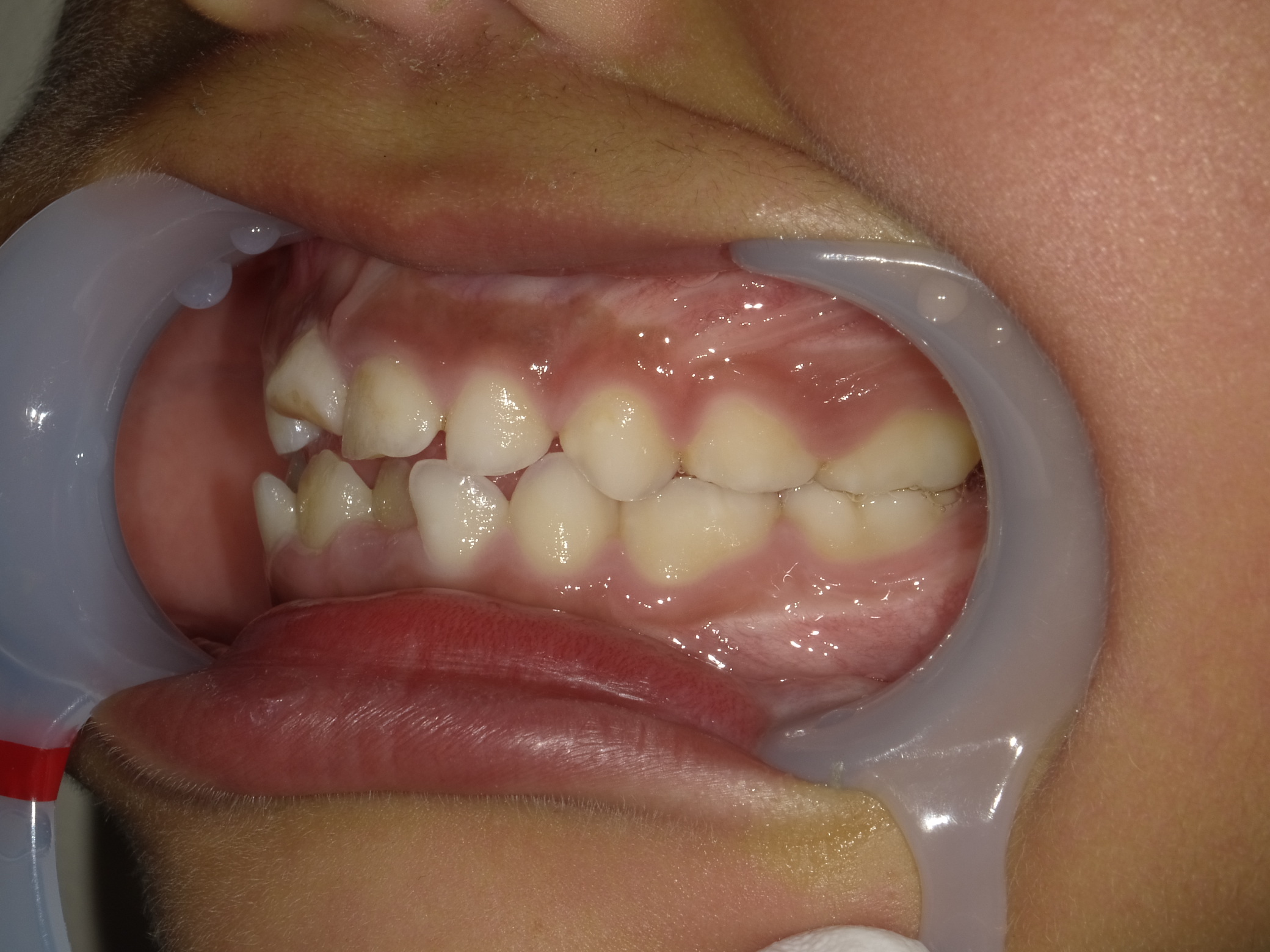
右横

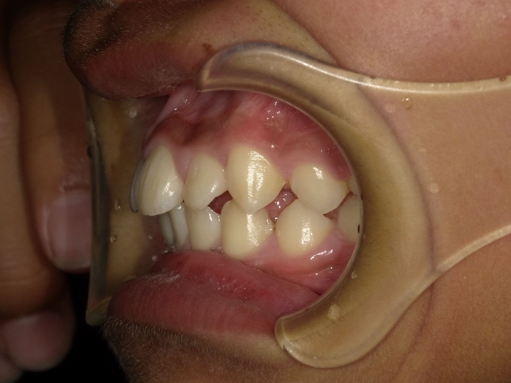
左横

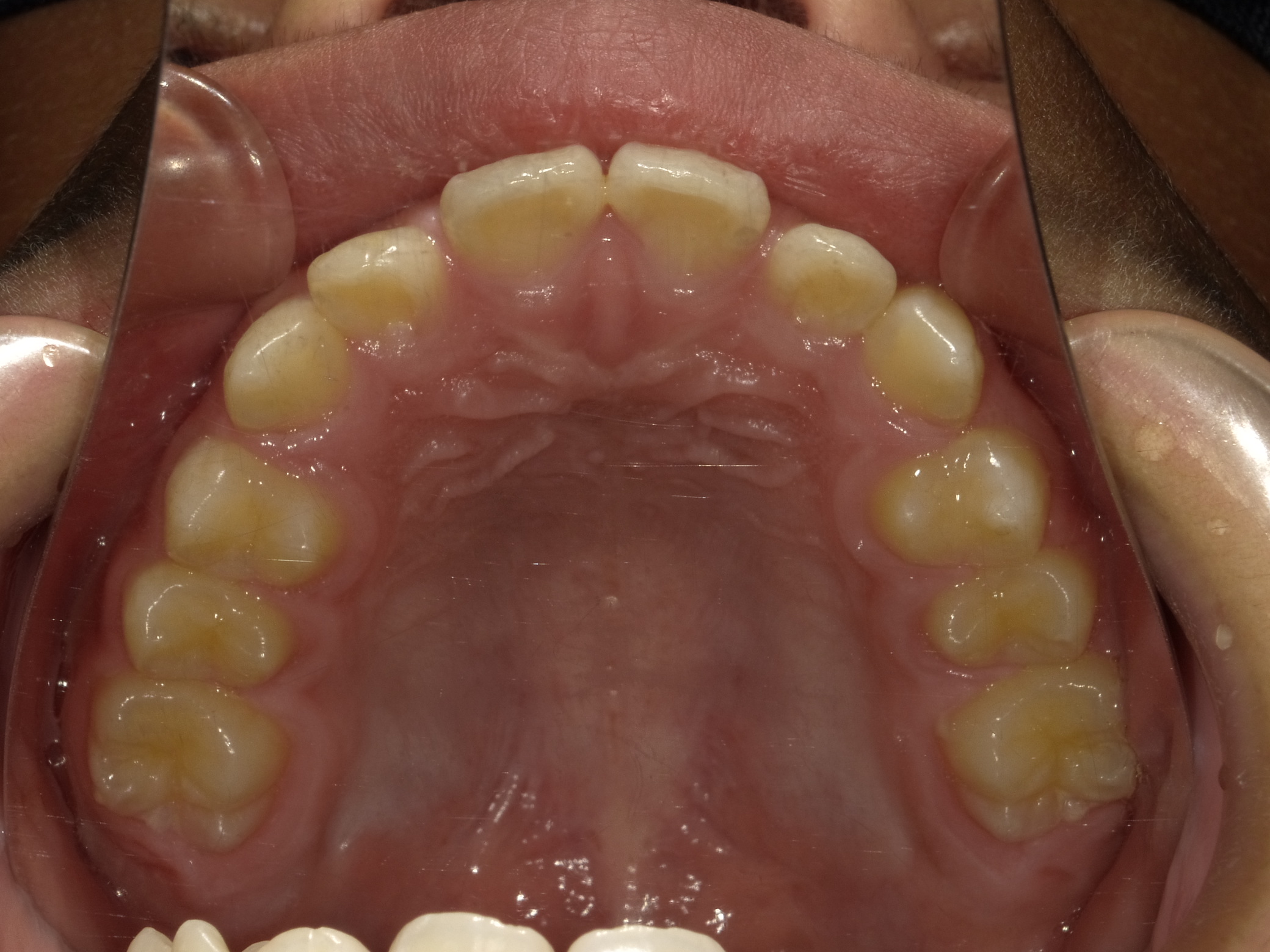
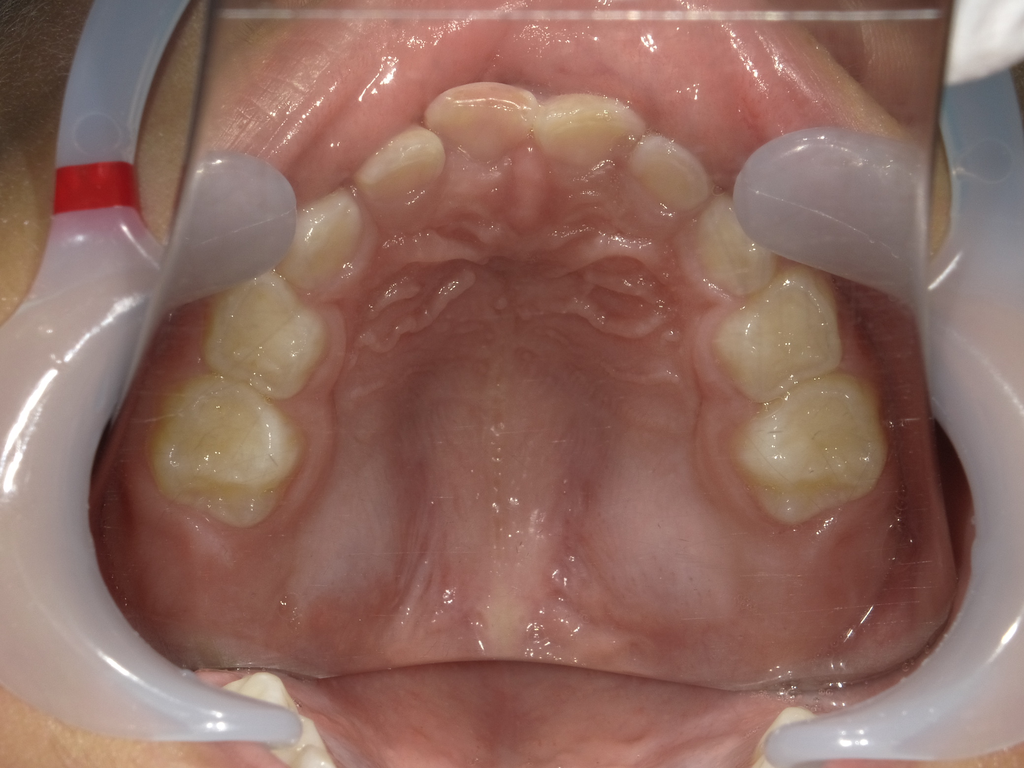
上顎

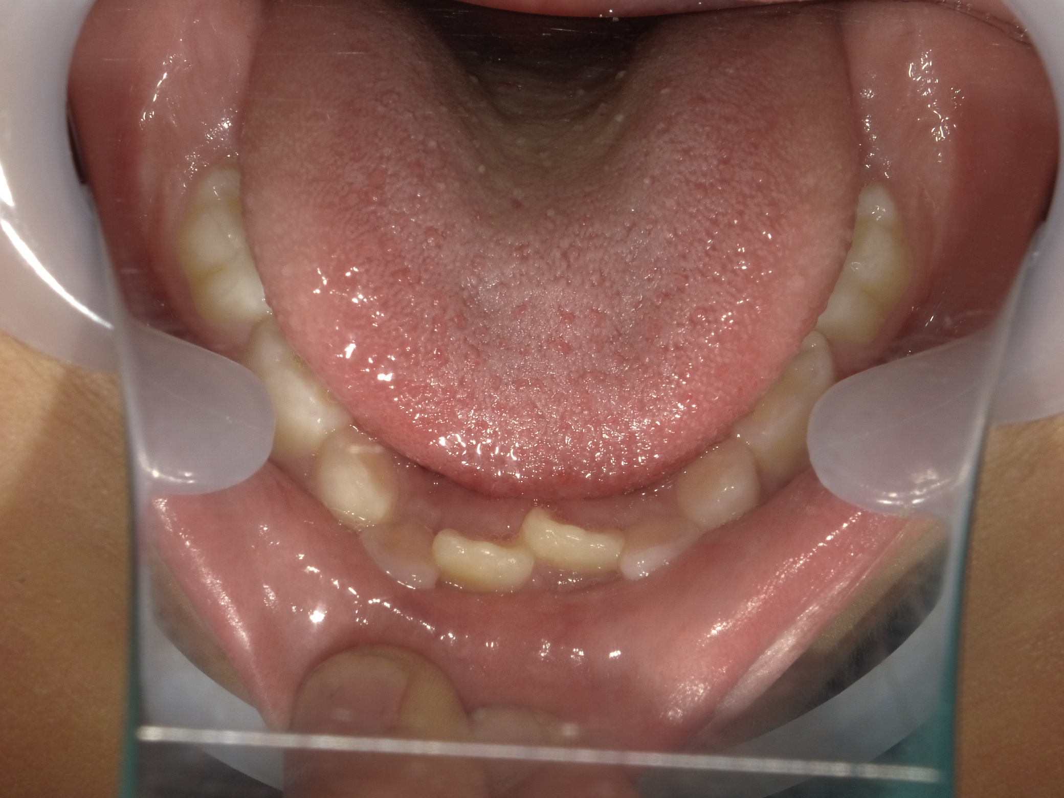
下顎
| 治療内容 | 予防矯正 |
|---|---|
| 治療詳細 | 「マイオブレス」と呼ばれるマウスピース装置と、 「拡大床」と呼ばれる床装置と、 「QH」と呼ばれる固定式の装置の装着を行いました |
| 患者情報 | 開始年齢6歳 男性 |
| 主訴 | ・スペース不足 : 永久歯が生えそろう十分なスペースがない状態 |
| 治療期間 | 2019.7.27~2025.8.29 来院回数:21回 |
| 治療費用 | 予防矯正 |
| 担当医 | 田中一郎 歯科医師 |
| 副作用 | 矯正治療中に装置が当たることで頬の内側に傷がつく、口内炎、歯の移動に伴う痛みを感じることがあります |