治療別で症例を探す
インビザライン
インビザファースト
小児予防矯正
ホワイトニング
すべての症例
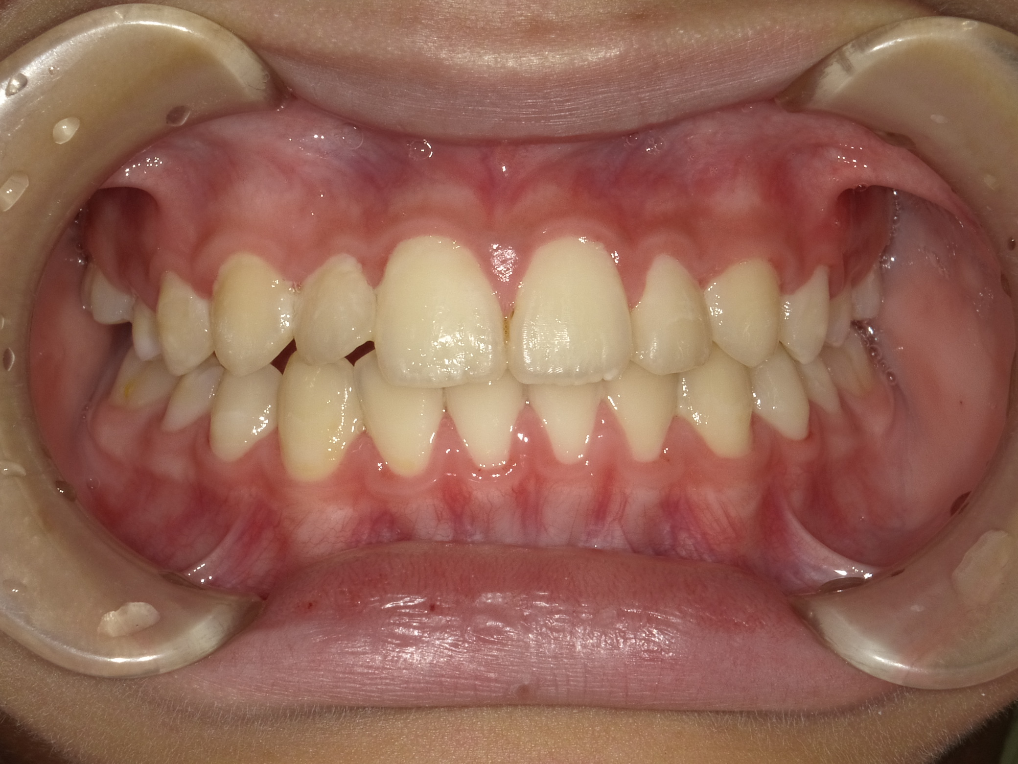
10代男性 叢生(歯のがたつき) 過蓋咬合(かみ合わせが深い)
治療内容:インビザライン・ファースト
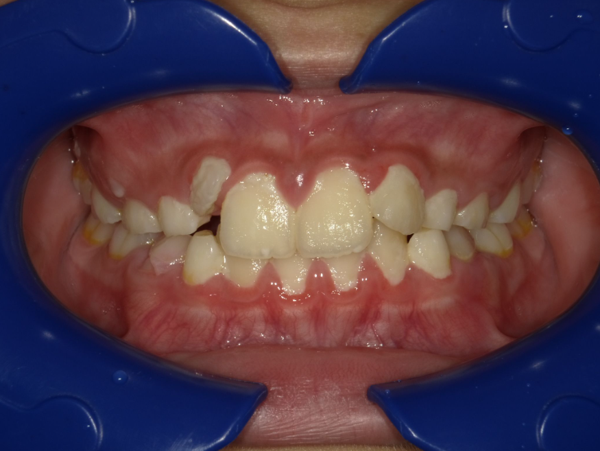
10代女性 前突(出っ歯)・過蓋咬合(咬み合わせが深い)
スタッフ同士が助け合う働きやすい職場!