インビザファースト

10代男性 叢生(歯のがたつき) 過蓋咬合(かみ合わせが深い)

  • BEFORE

    症例集 インビザライン 正面

    矢印

    AFTER

    症例集 インビザライン 正面

  • BEFORE

    症例集 インビザライン 右横

    矢印

    AFTER

    症例集 インビザライン 右横

  • BEFORE

    症例集 インビザライン 左横

    矢印

    AFTER

    症例集 インビザライン 左横

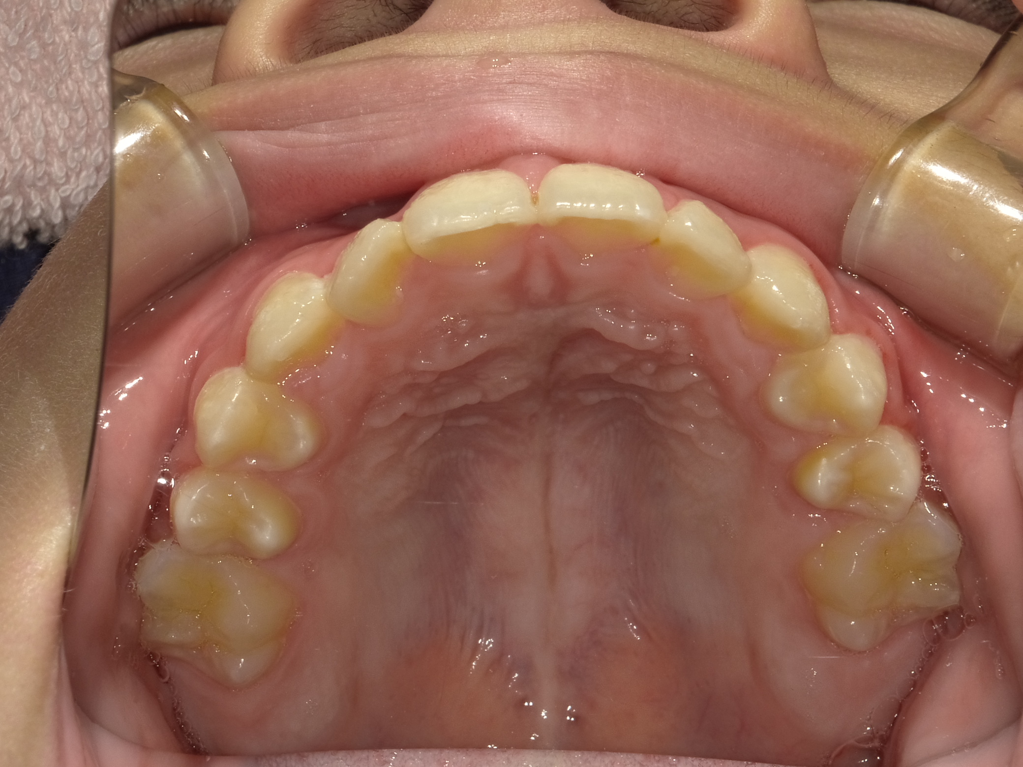
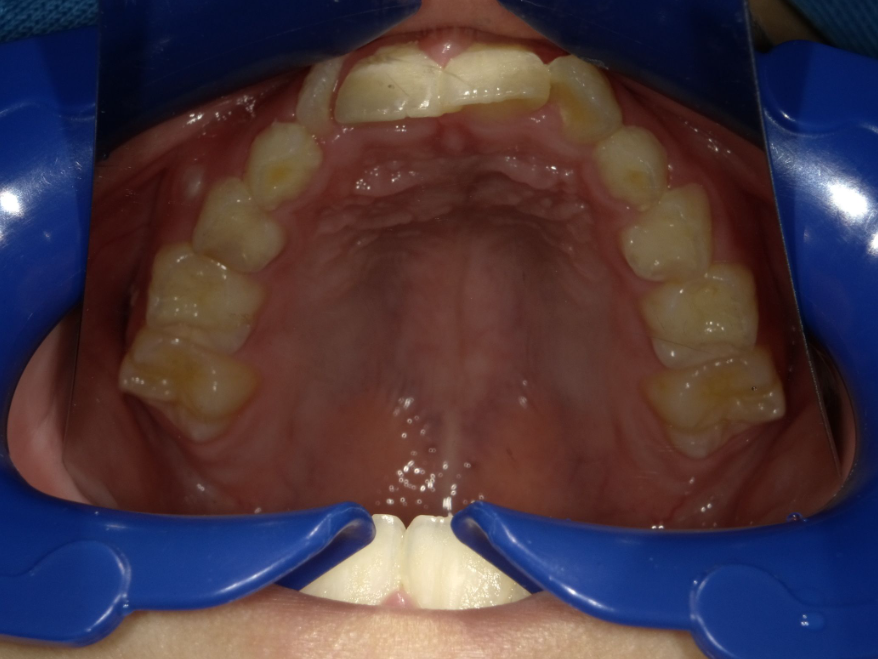
  • BEFORE

    症例集 インビザライン 上顎

    矢印

    AFTER

    症例集 インビザライン 上顎

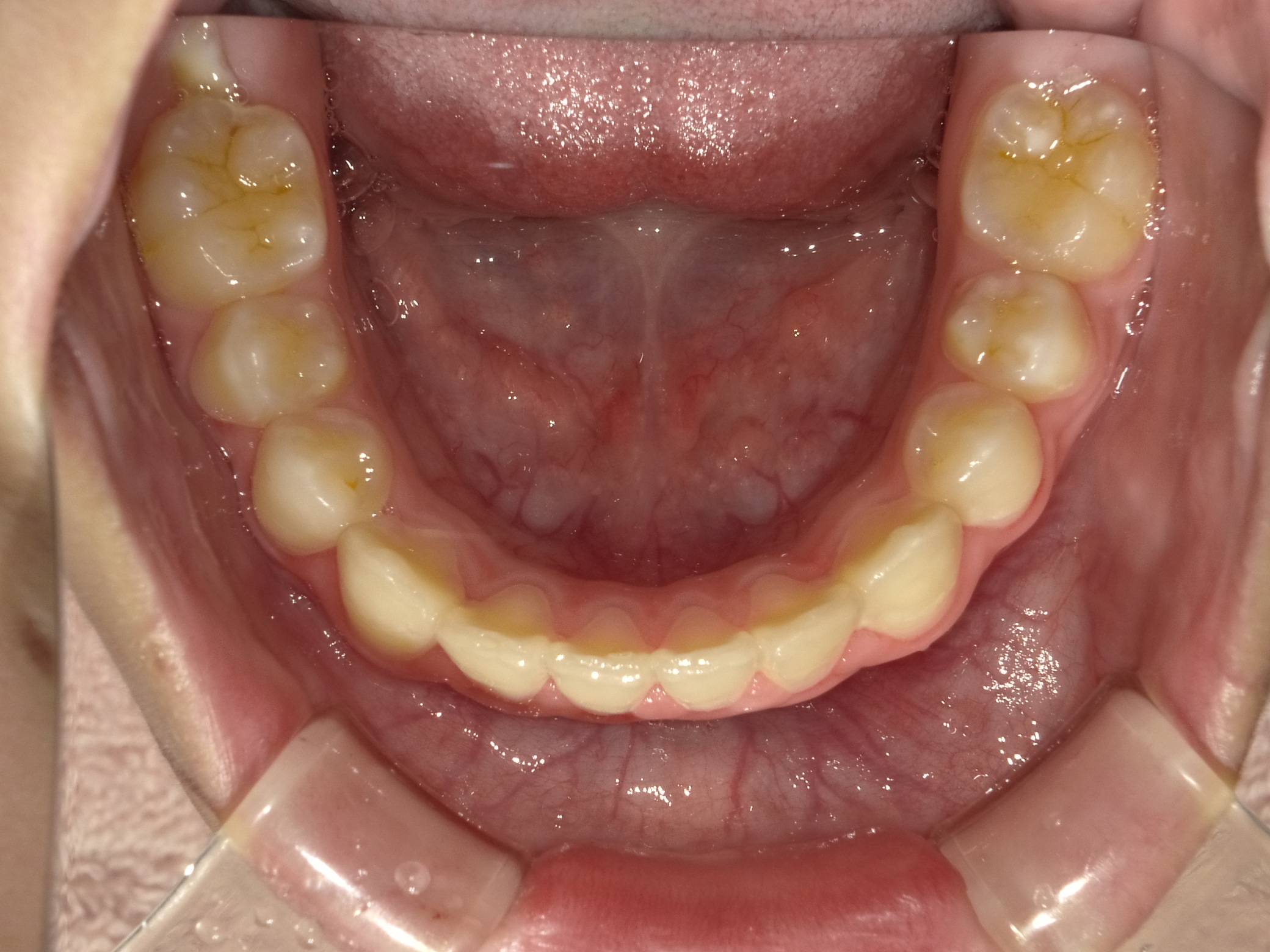
  • BEFORE

    症例集 インビザライン 下顎

    矢印

    AFTER

症例集 インビザライン 正面

正面

症例集 インビザライン 右横

右横

症例集 インビザライン 左横

左横

症例集 インビザライン 上顎

上顎

症例集 インビザライン 下顎

下顎

治療内容

インビザライン・ファースト

治療詳細

叢生や過蓋咬合を整えるために、歯の表面にアタッチメント(白い突起)を付けました。

患者情報

10代 男性

予防矯正からの移行

主訴

歯のがたつき・かみ合わせが深い

治療期間

2024.1.29~2025.10.11

来院回数:18回

治療費用

検査代 0円

本体代 150,000円 (税込165,000円)

保定代 40,000円 (税込44,000円)

担当医

田中一郎 歯科医師

副作用

マウスピースを1日約20時間装着する必要があるため、しっかりと装着いただけないと歯並びが綺麗になりません

治療経過

ページの先頭へ戻る