治療別で症例を探す
インビザライン
インビザファースト
小児予防矯正
ホワイトニング
すべての症例
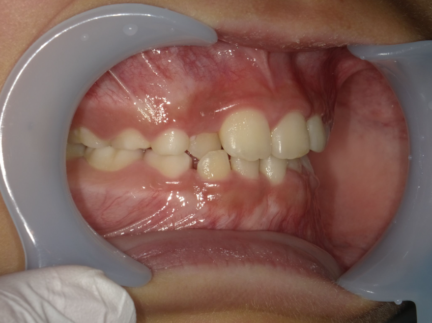
10代男性 叢生(歯のがたつき)・スペース不足・交叉咬合(一部分だけかみ合わせが反対)
治療内容:インビザライン・ファースト
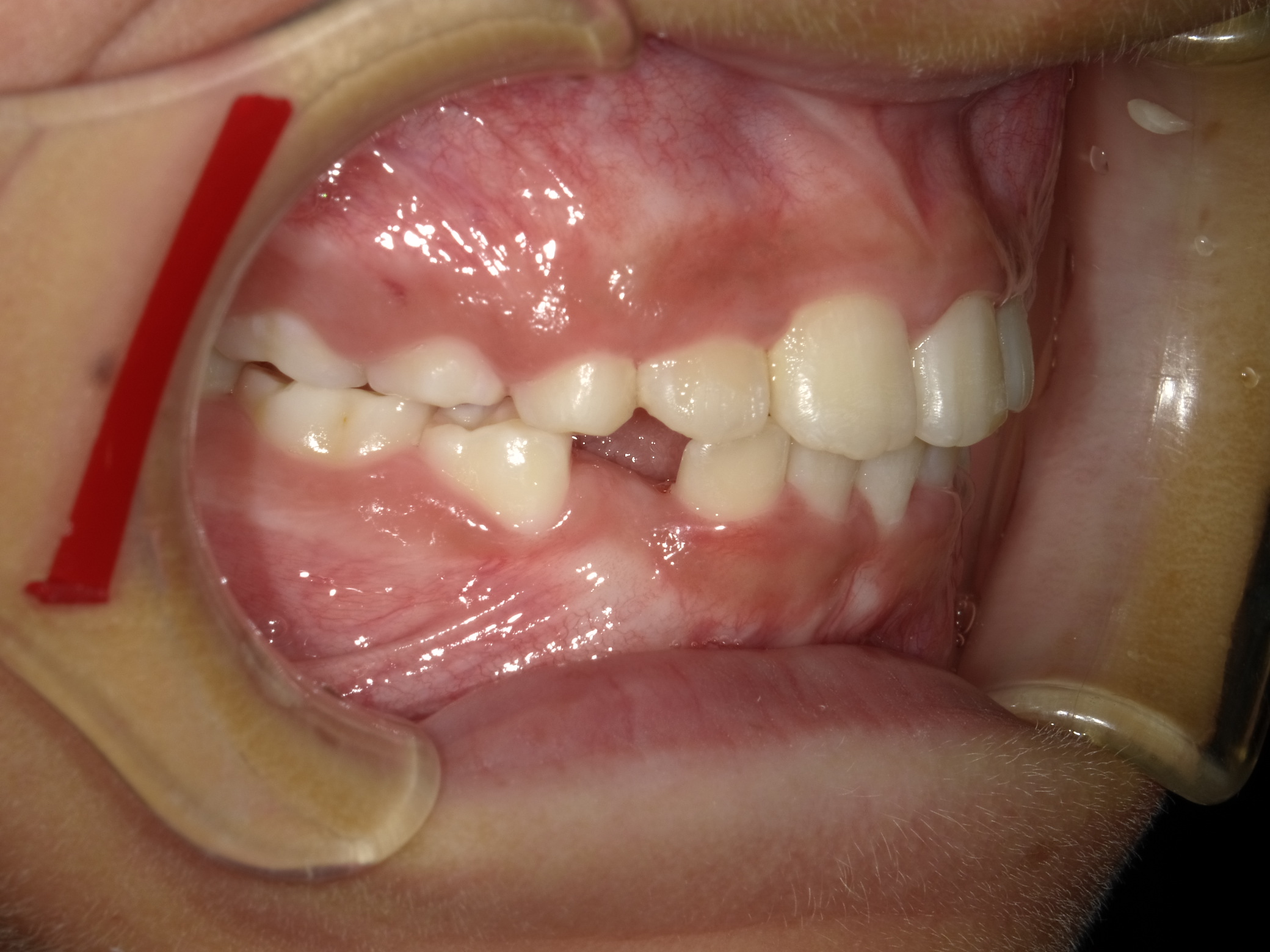
9歳男性 スペース不足(永久歯が並ぶ場所がない)・交叉咬合(一部分だけかみ合わせが反対)
10代男性 スペース不足(歯が生えてくるスペースが足りない)
スタッフ同士が助け合う働きやすい職場!