インビザファースト

10代男性 スペース不足(歯が生えてくるスペースが足りない)

  • BEFORE

    症例集 インビザライン 正面

    矢印

    AFTER

    症例集 インビザライン 正面

  • BEFORE

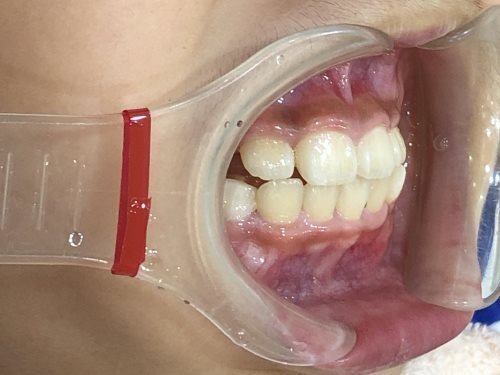
    症例集 インビザライン 右横

    矢印

    AFTER

    症例集 インビザライン 右横

  • BEFORE

    症例集 インビザライン 左横

    矢印

    AFTER

    症例集 インビザライン 左横

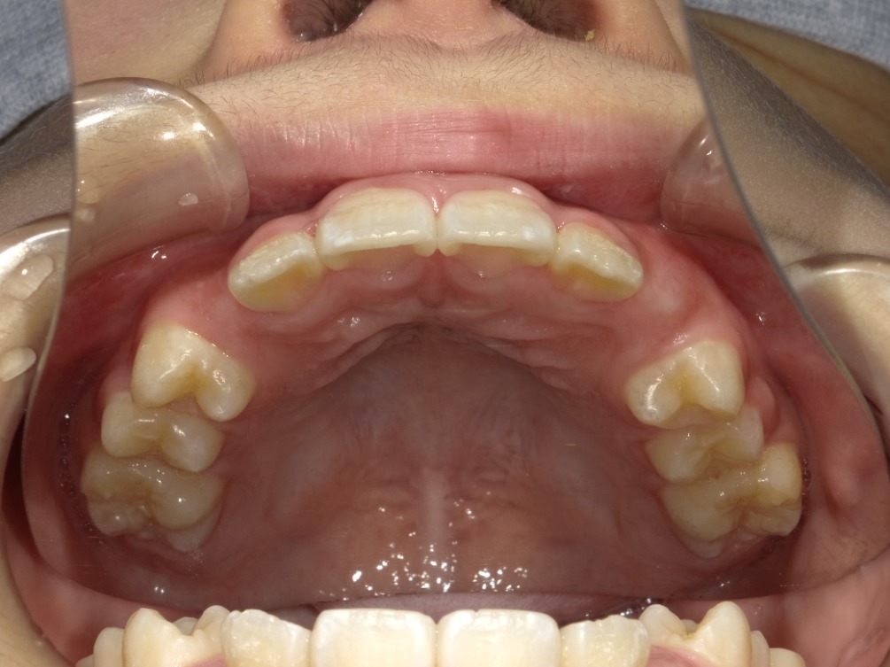
  • BEFORE

    症例集 インビザライン 上顎

    矢印

    AFTER

  • BEFORE

    症例集 インビザライン 下顎

    矢印

    AFTER

    症例集 インビザライン 下顎

症例集 インビザライン 正面

正面

症例集 インビザライン 右横

右横

症例集 インビザライン 左横

左横

症例集 インビザライン 上顎

上顎

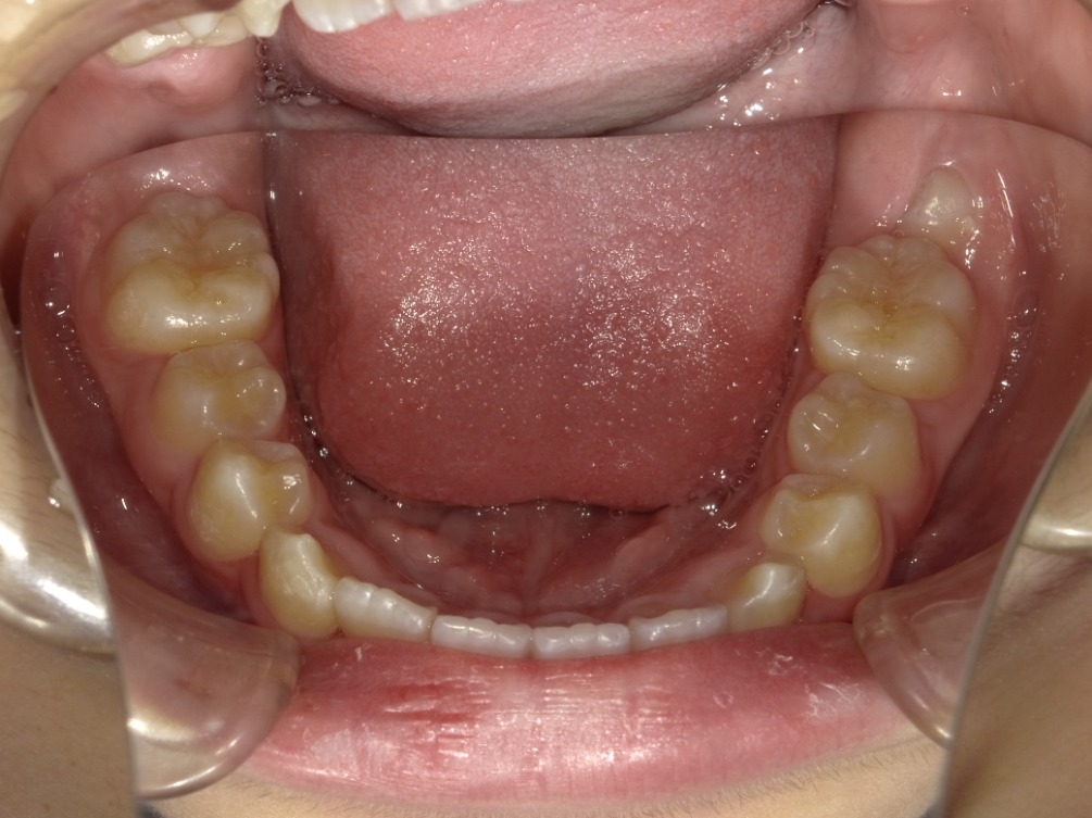
症例集 インビザライン 下顎

下顎

治療内容

インビザライン・ファースト

治療詳細

スペース不足を整えるために、歯の表面にアタッチメント(白い突起)をつけ、IPR(歯と歯の間を削る)を行いました。

スペース不足を放置していた場合、叢生と言って歯が重なって生えてくる可能性の高い状態でした。

そのため、治療開始時には右下の前から3番目の永久歯の生えるスペースがありませんでした。

矯正治療を行うことで、スペースができ、治療後には正しい位置に生えています。

患者情報

10代 男性

予防矯正から移行

主訴

スペースが足りない

治療期間

2024.9.19~2025.4.9

来院回数:11回

治療費用

検査代 30,000円 (税込33,000円)

矯正代 150,000円 (税込165,000円)

保定代 40,000円 (税込44,000円)

担当医

田中一郎 歯科医師

副作用

マウスピースを1日約20時間装着する必要があるため、しっかりと装着いただけないと歯並びが綺麗になりません

治療経過

ページの先頭へ戻る