治療別で症例を探す
インビザライン
インビザファースト
小児予防矯正
ホワイトニング
すべての症例
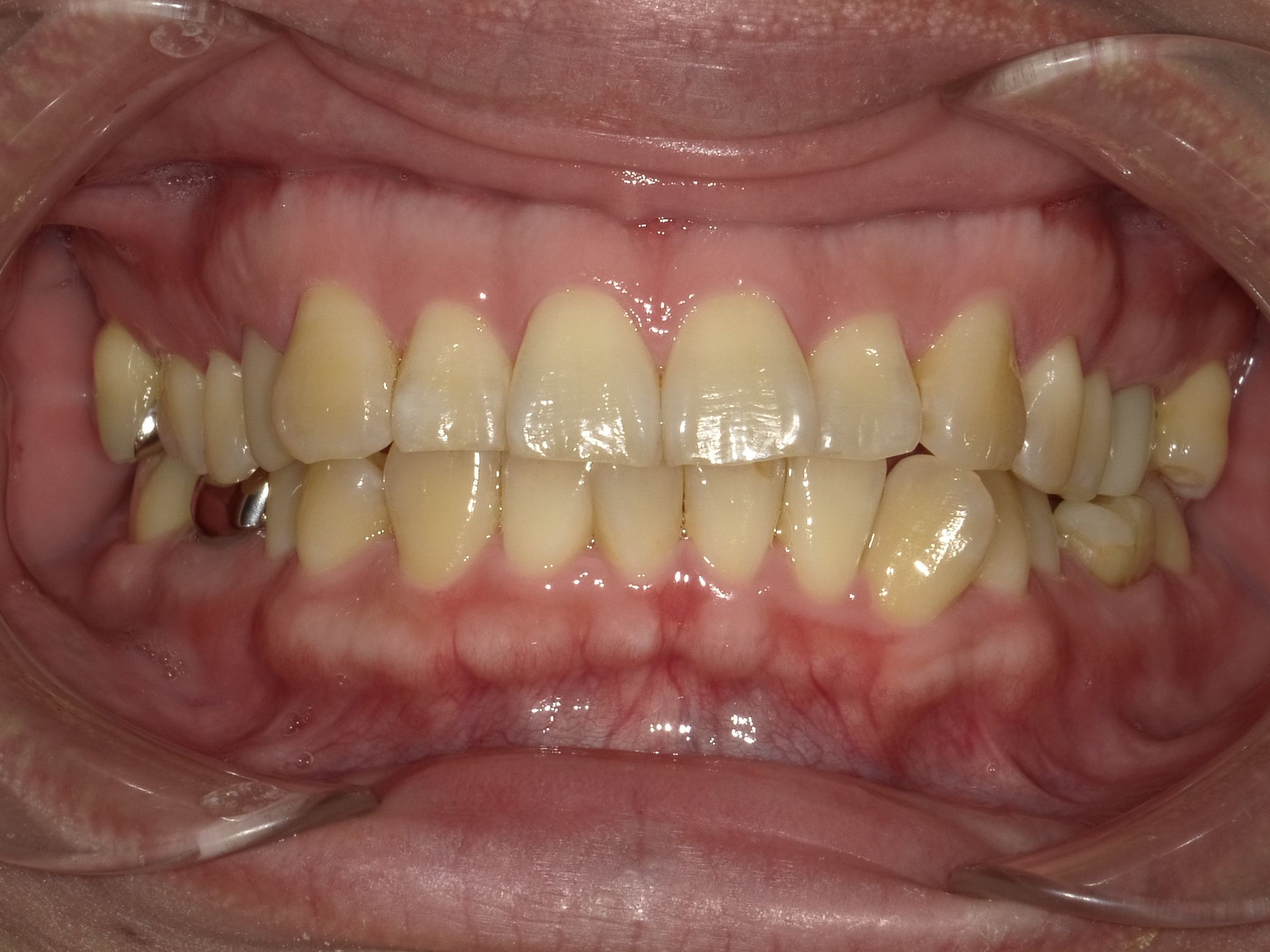
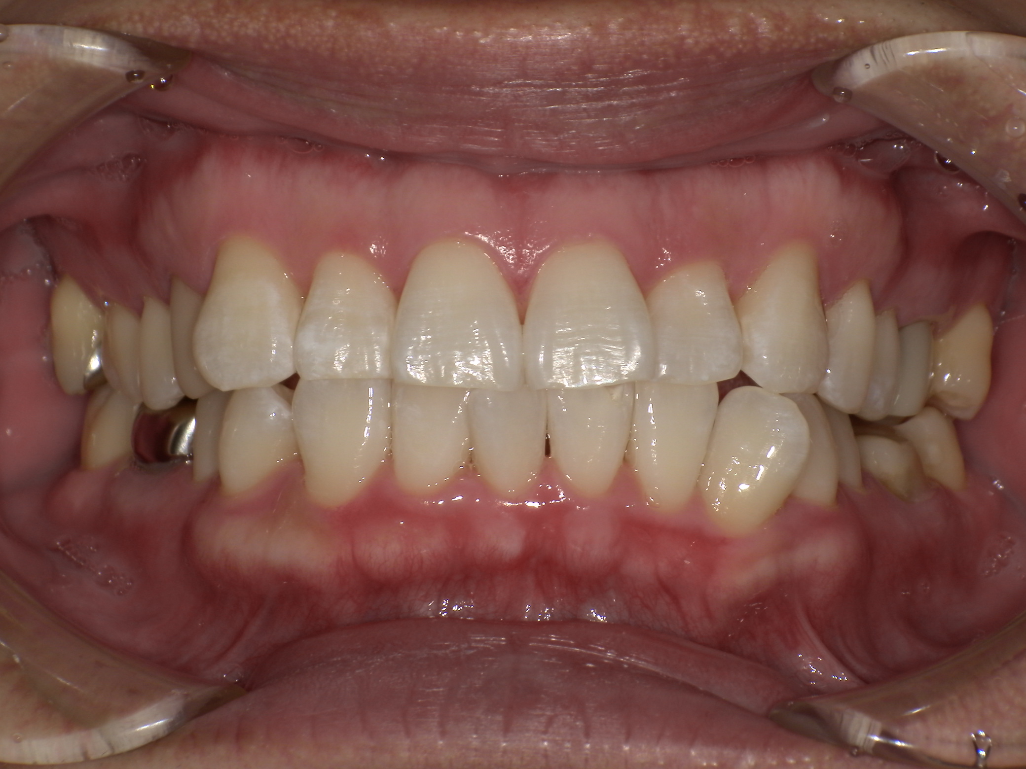
50代男性 オフィスホワイトニング
治療内容:オフィスホワイトニング
30代女性 オフィスホワイトニング
30代男性 デュアルホワイトニング
治療内容:デュアルホワイトニング
30代女性 デュアルホワイトニング
20代女性 オフィスホワイトニング
20代男性 デュアルホワイトニング
40代男性 デュアルホワイトニング
スタッフ同士が助け合う働きやすい職場!