インビザライン

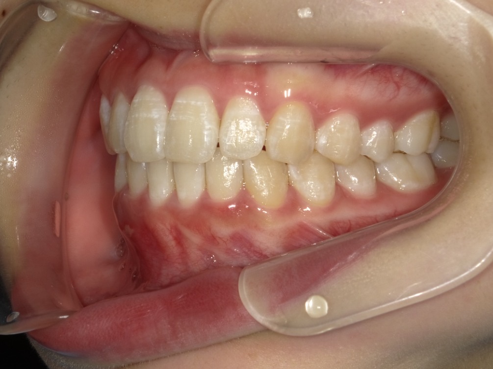
10代女性 叢生(歯のがたつき)・交叉咬合(一部分だけかみ合わせが反対)

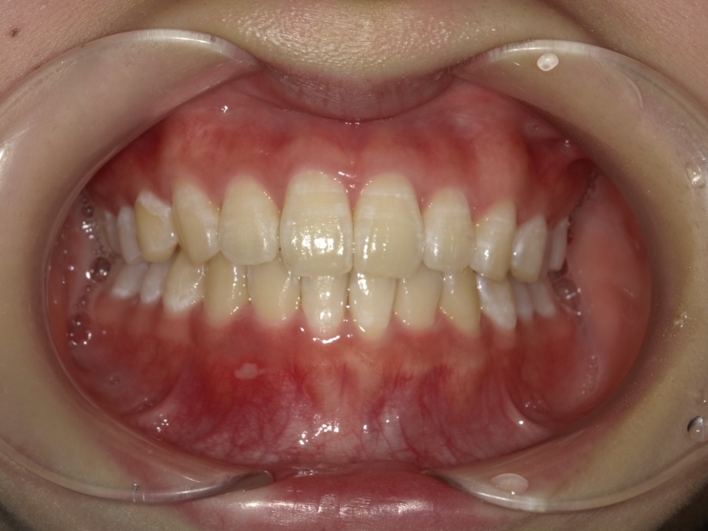
  • BEFORE

    症例集 インビザライン 正面

    矢印

    AFTER

    症例集 インビザライン 正面

  • BEFORE

    症例集 インビザライン 右横

    矢印

    AFTER

    症例集 インビザライン 右横

  • BEFORE

    症例集 インビザライン 左横

    矢印

    AFTER

    症例集 インビザライン 左横

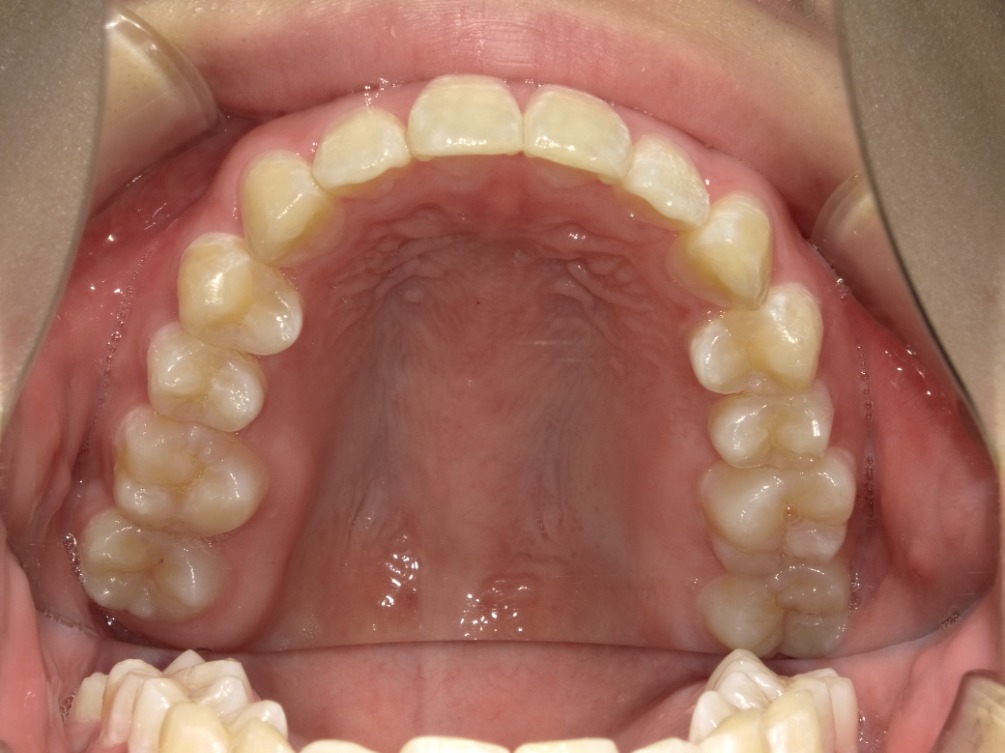
  • BEFORE

    症例集 インビザライン 上顎

    矢印

    AFTER

    症例集 インビザライン 上顎

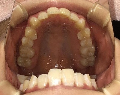
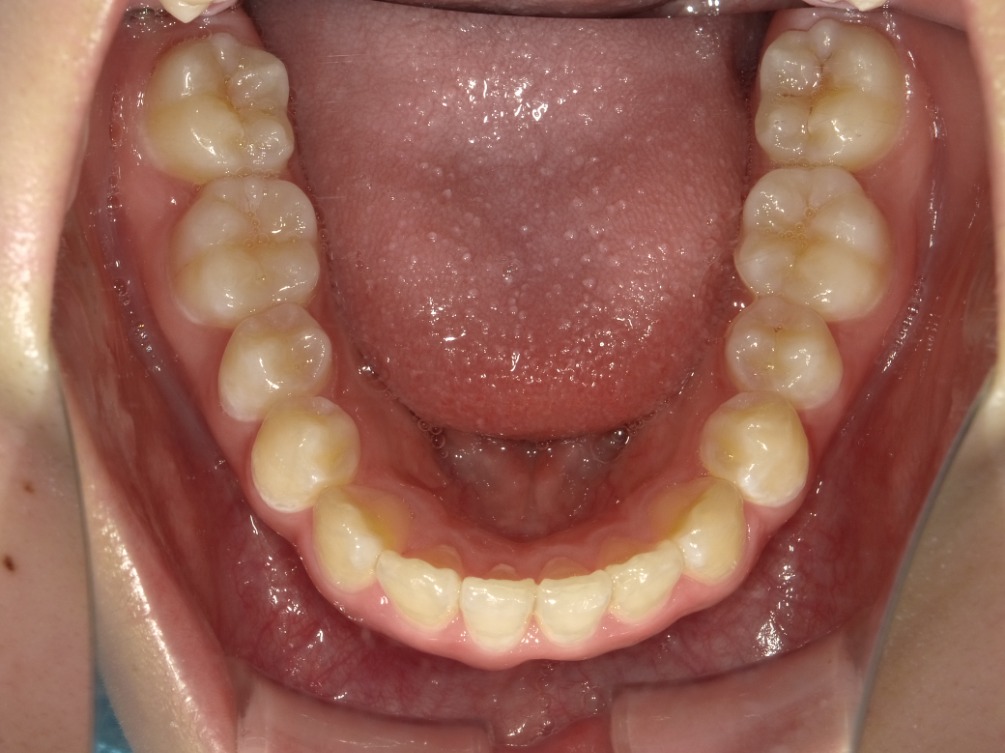
  • BEFORE

    症例集 インビザライン 下顎

    矢印

    AFTER

    症例集 インビザライン 下顎

  • BEFORE

    症例集 インビザライン 笑顔

    矢印

    AFTER

    症例集 インビザライン 笑顔

症例集 インビザライン 正面

正面

症例集 インビザライン 右横

右横

症例集 インビザライン 左横

左横

症例集 インビザライン 上顎

上顎

症例集 インビザライン 下顎

下顎

症例集 インビザライン 笑顔

笑顔

治療内容

インビザライン 全顎

治療詳細

叢生や交叉咬合を整えるために、歯の表面にアタッチメント(白い突起)をつけ、IPR(歯と歯の間を削る)を行いました。

患者情報

10代 女性

一期治療から移行

主訴

歯のがたつき

一部分のみかみ合わせが反対

治療期間

2025.3.22~2025.9.27

来院回数:6回

治療費用

検査代 0円

本体代 300,000円 (税込330,000円)

保定代 40,000円 (税込44,000円)

担当医

田中一郎 歯科医師

副作用

マウスピースを1日約20時間装着する必要があるため、しっかりと装着いただけないと歯並びが綺麗になりません

治療経過

ページの先頭へ戻る