治療別で症例を探す


治療内容:オフィスホワイトニング


治療内容:オフィスホワイトニング


治療内容:オフィスホワイトニング


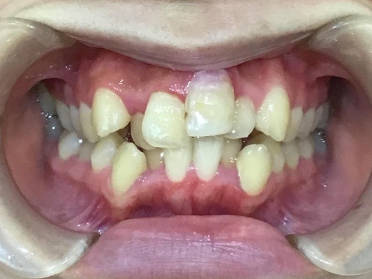
9歳男性 スペース不足(永久歯が並ぶ場所がない)・交叉咬合(一部分だけかみ合わせが反対)
治療内容:インビザライン・ファースト


治療内容:インビザライン 全顎


10代女性 叢生(歯のがたつき)・交叉咬合(一部分だけかみ合わせが反対)
治療内容:インビザライン・ファースト


20代女性 叢生(歯のがたつき)・交叉咬合(一部分だけかみ合わせが反対)
治療内容:インビザライン 全顎〈抜歯あり〉


10代女性 叢生(歯のがたつき)・交叉咬合(一部分だけかみ合わせが反対)
治療内容:インビザライン 全顎


治療内容:インビザライン 全顎


50代女性 上顎前突(出っ歯)・叢生(歯のがたつき)・下顎左偏
治療内容:インビザライン 全顎