治療別で症例を探す
BEFORE

AFTER

BEFORE

AFTER

BEFORE

AFTER

BEFORE

AFTER

BEFORE

AFTER


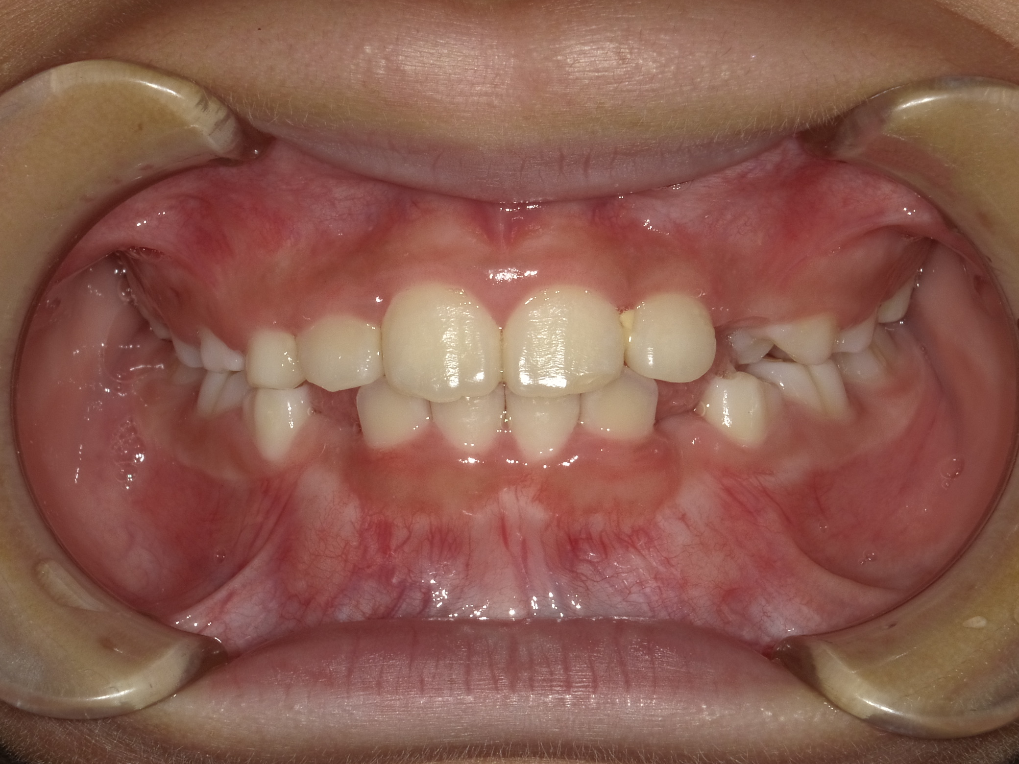
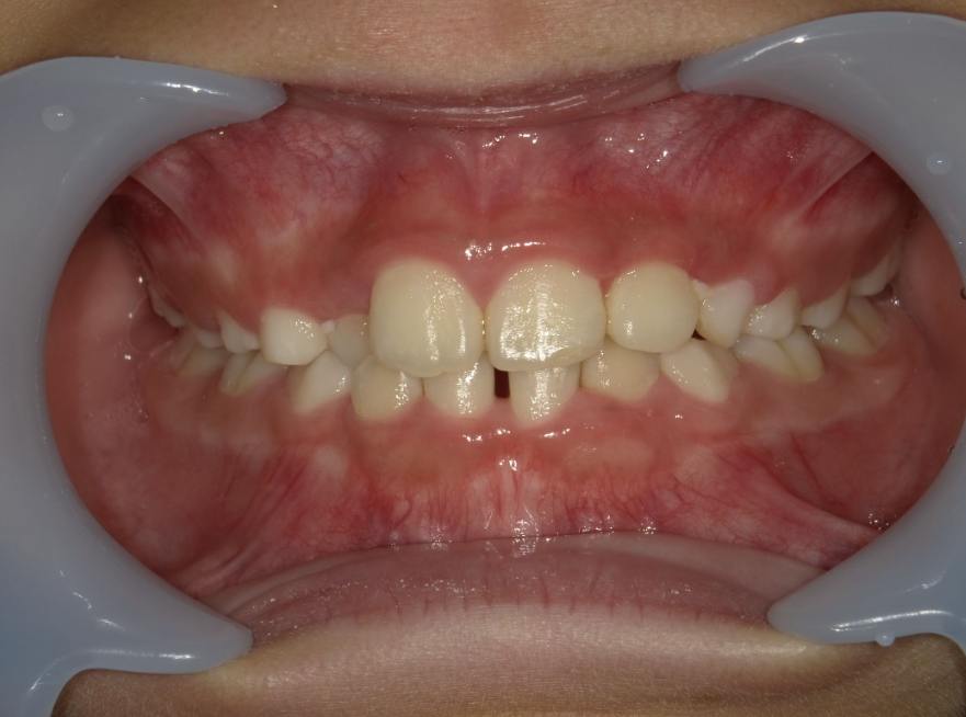
正面

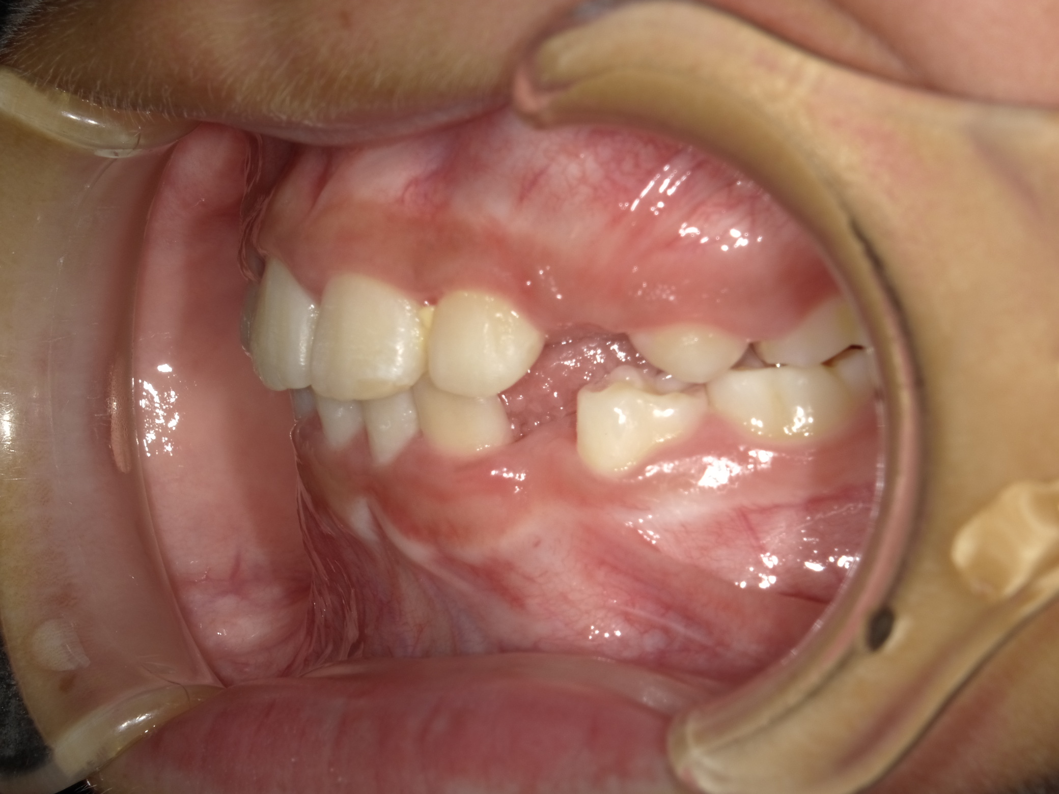
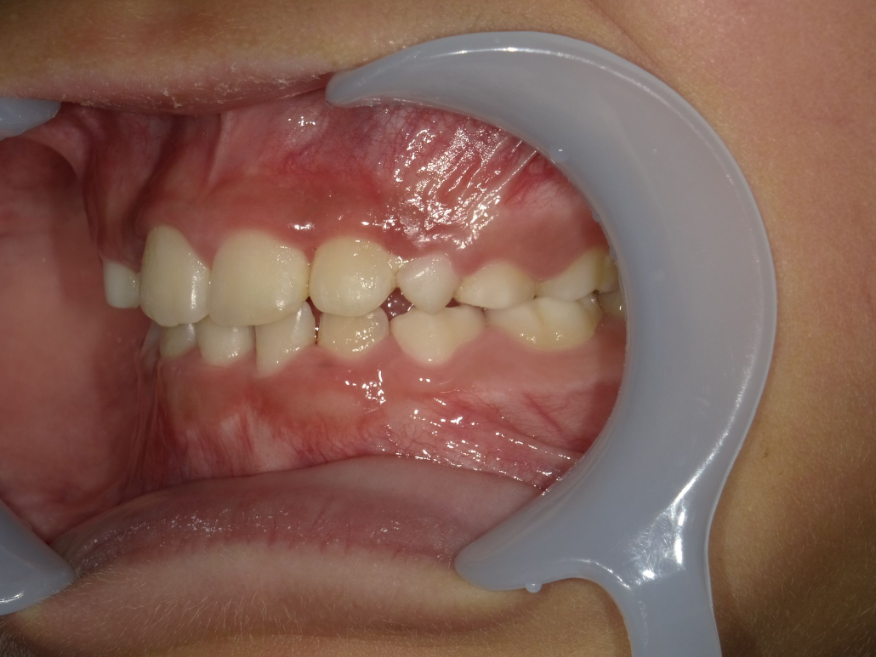
右横

左横

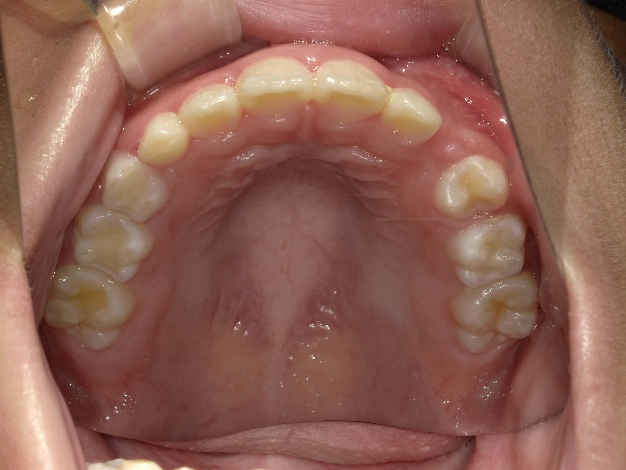
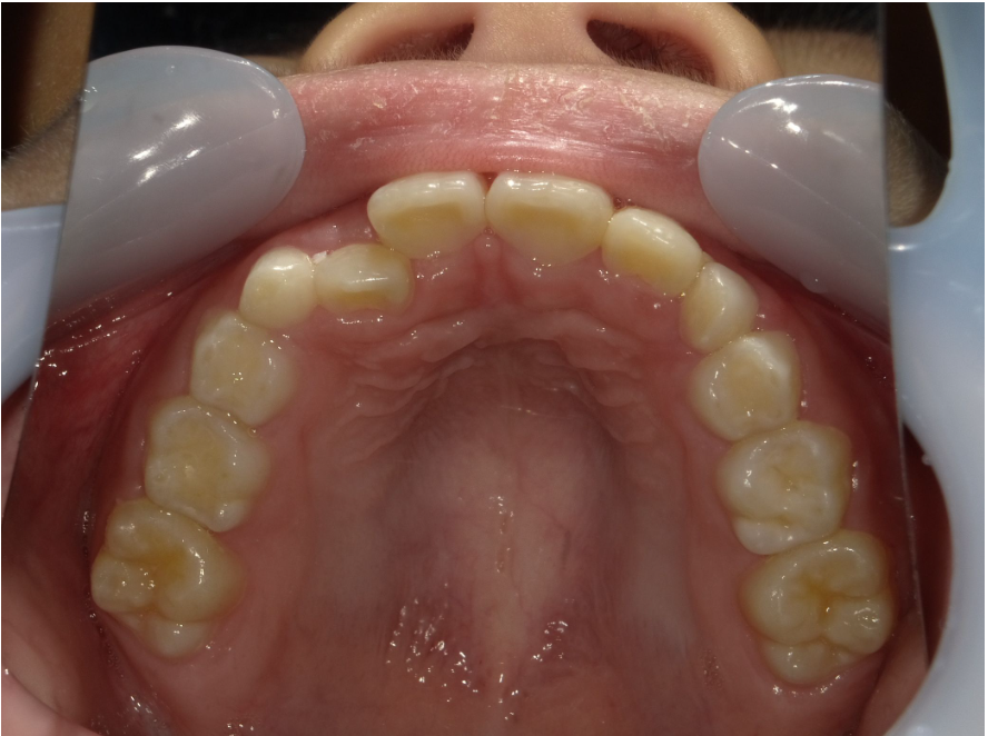
上顎

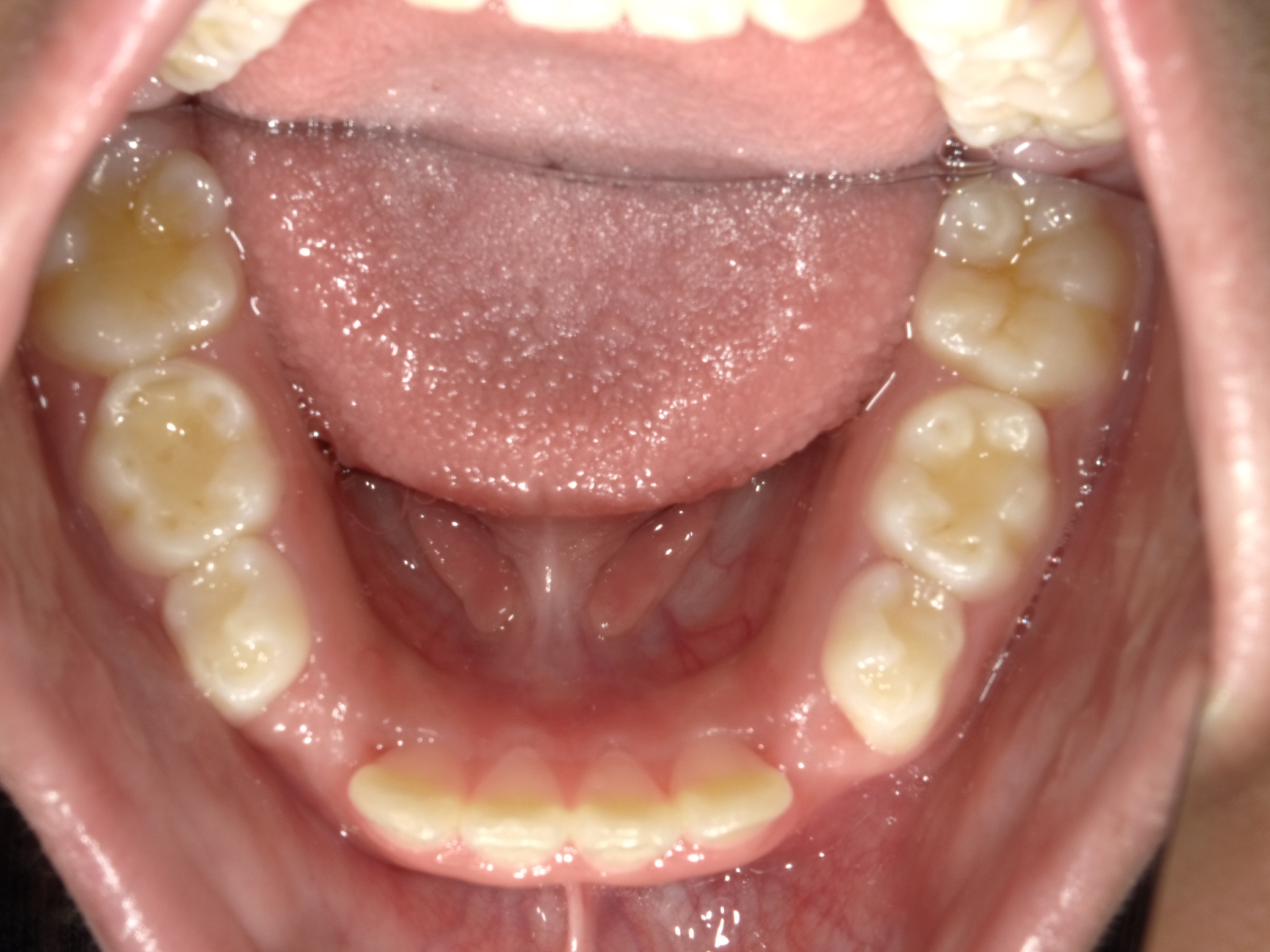
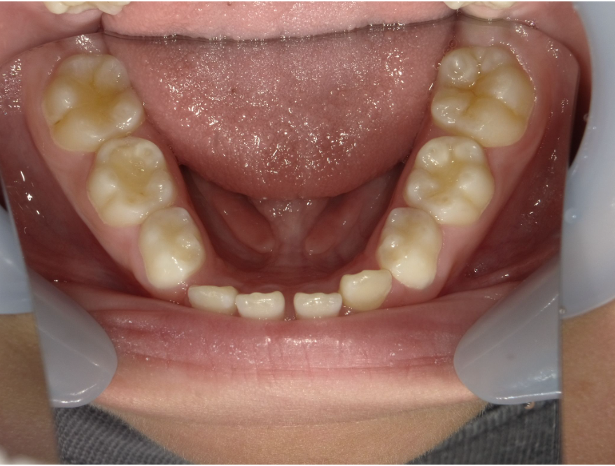
下顎
| 治療内容 | インビザライン・ファースト |
|---|---|
| 治療詳細 | スペース不足や交叉咬合を整えるために、歯の表面にアタッチメント(白い突起)をつけ、治療を行いました。 |
| 患者情報 | 9歳 男性 予防矯正から移行 |
| 主訴 | 永久歯は生えそろう十分なスペースがない 一部分だけかみ合わせが反対 |
| 治療期間 | 2024.12.10~2025.8.29 来院回数:7回 |
| 治療費用 | 検査代 0円 矯正代 150,000円 (税込165,000円) 保定代 40,000円 (税込44,000円) |
| 担当医 | 田中一郎 歯科医師 |
| 副作用 | マウスピースを1日約20時間装着する必要があるため、しっかりと装着いただけないと歯並びが綺麗になりません |
治療経過