治療別で症例を探す
BEFORE

AFTER

BEFORE

AFTER

BEFORE

AFTER

BEFORE

AFTER

BEFORE

AFTER

BEFORE

AFTER


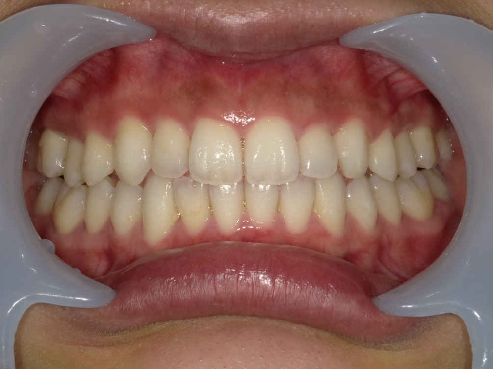
正面

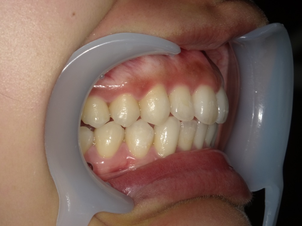
右横

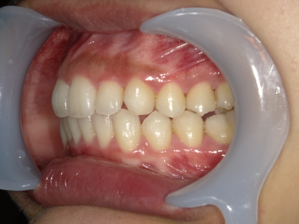
左横

上顎

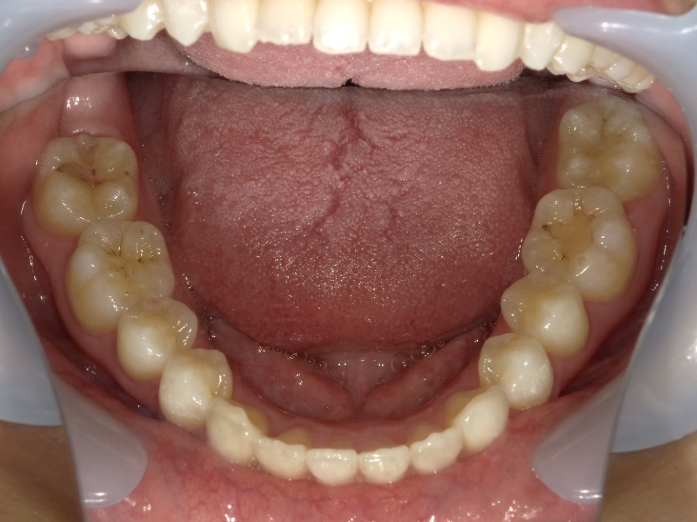
下顎

笑顔
| 治療内容 | インビザライン 全顎 |
|---|---|
| 治療詳細 | 叢生や上顎前突を整えるために、歯の表面にアタッチメント(白い突起)をつけ、IPR(歯と歯の間を削る)を行いました。 また、顎間ゴムと呼ばれる上顎と下顎に渡って引っ掛けるゴムの補助装置も用いて治療を行いました |
| 患者情報 | 20代 女性 デンタルモニタリング使用 |
| 主訴 | 歯のがたつき・出っ歯 |
| 治療期間 | 2023.12.19~2025.8.23 来院回数:8回 |
| 治療費用 | 検査代 30,000円 (税込33,000円) 本体代 698,000円 (税込767,800円) 保定代 40,000円 (税込44,000円) |
| 担当医 | 田中一郎 歯科医師 |
| 副作用 | マウスピースを1日約20時間装着する必要があるため、しっかりと装着いただけないと歯並びが綺麗になりません |
治療経過